
Gartner duct cysts are rare congenital cystic lesions arising from the remnants of the mesonephric (Wolffian) duct in the female reproductive tract. These cysts typically manifest along the lateral walls of the vagina and are often incidental findings during gynecological examinations. Despite their benign nature, Gartner duct cysts can occasionally cause symptoms or complications, necessitating medical attention. This pathology description aims to elucidate the characteristic features of Gartner duct cysts of the vagina, encompassing their etiology, histological features, clinical presentation, and differential diagnosis.
Gartner duct cysts arise from the persistence and enlargement of the Gartner duct, a remnant of the mesonephric duct system that normally regresses during fetal development in females. Failure of regression results in the formation of cystic structures lined by cuboidal or columnar epithelium within the vaginal wall.
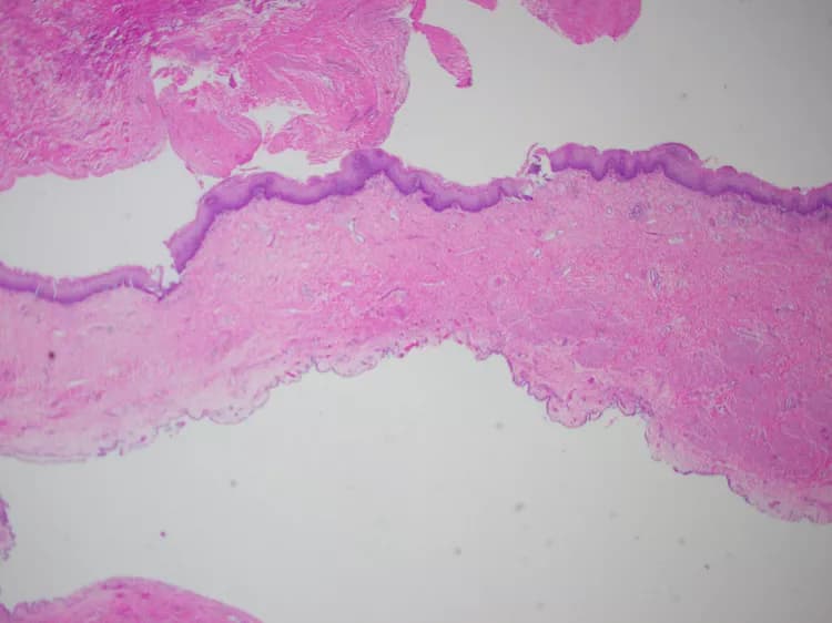
Histologically, Gartner duct cysts of the vagina typically exhibit cystic structures lined by cuboidal or columnar epithelium, resembling the epithelium of the female reproductive tract. The cyst wall may contain smooth muscle fibers and is often surrounded by fibrous connective tissue. Occasionally, the cysts may demonstrate hemorrhage, inflammation, or squamous metaplasia.
Gartner duct cysts of the vagina are often asymptomatic and discovered incidentally during routine pelvic examinations. However, symptomatic cases may present with pelvic pain, dyspareunia, or a palpable vaginal mass. Rarely, larger cysts may cause urinary or rectal symptoms due to compression of adjacent structures. In some instances, Gartner duct cysts may become infected, leading to pain, swelling, or purulent discharge.
The differential diagnosis of Gartner duct cysts of the vagina includes various vaginal cystic lesions, such as Müllerian duct cysts, Bartholin gland cysts, and vaginal inclusion cysts. Clinical evaluation, along with imaging studies and histopathological examination of biopsy specimens, is essential to differentiate Gartner duct cysts from other vaginal lesions accurately.
Gartner duct cysts of the vagina are rare benign lesions arising from the persistence of the Gartner duct remnants. While typically asymptomatic, these cysts can cause symptoms or complications in some cases. Awareness of their characteristic histological features, clinical presentation, and differential diagnosis is crucial for accurate diagnosis and appropriate management of Gartner duct cysts of the vagina.
Hashtags: #GartnerDuctCyst #VaginalPathology #VaginalLesions #Gynecology #Pathology
and connect with fellow professionals
At DoveMed, our utmost priority is your well-being. We are an online medical resource dedicated to providing you with accurate and up-to-date information on a wide range of medical topics. But we're more than just an information hub - we genuinely care about your health journey. That's why we offer a variety of products tailored for both healthcare consumers and professionals, because we believe in empowering everyone involved in the care process.
Our mission is to create a user-friendly healthcare technology portal that helps you make better decisions about your overall health and well-being. We understand that navigating the complexities of healthcare can be overwhelming, so we strive to be a reliable and compassionate companion on your path to wellness.
As an impartial and trusted online resource, we connect healthcare seekers, physicians, and hospitals in a marketplace that promotes a higher quality, easy-to-use healthcare experience. You can trust that our content is unbiased and impartial, as it is trusted by physicians, researchers, and university professors around the globe. Importantly, we are not influenced or owned by any pharmaceutical, medical, or media companies. At DoveMed, we are a group of passionate individuals who deeply care about improving health and wellness for people everywhere. Your well-being is at the heart of everything we do.
0 Comments
Please log in to post a comment.