Alison Cassidy

Sesamoiditis

Article
Bone, Muscle, & Joint
Diseases & Conditions
Contributed byMaulik P. Purohit MD MPHDec 22, 2018

What are the other Names for this Condition? (Also known as/Synonyms)

  • Ball of Foot Pain

What is Sesamoiditis? (Definition/Background Information)

  • Sesamoiditis is a common and painful condition that is characterized by inflammation of the sesamoid bones. Sesamoids are bones that are embedded in a tendon or muscle and located in many joints
  • Sesamoiditis is predominantly caused by any physical activity, such as an athletic sport, causing repetitive stress. There is a high incidence rate of this condition among young athletes and sportspersons
  • The condition is usually treated non-surgically. However, surgery is an option if the symptoms and pain does not improve. The prognosis of Sesamoiditis is usually excellent with appropriate treatment

Who gets Sesamoiditis? (Age and Sex Distribution)

  • Sesamoiditis may occur in individuals of all ages, races, ethnic groups, and genders
  • However, it is commonly seen in young individuals who participate in certain physical activities such as running or dancing
  • Individuals over the age of 60 years also have an increased risk of Sesamoiditis

What are the Risk Factors for Sesamoiditis? (Predisposing Factors) 

A few risk factors for Sesamoiditis include:

  • Advancing age
  • Participating in certain sports that causes one to use the balls of the feet more often, such as with tennis and basketball

It is important to note that having a risk factor does not mean that one will get the condition. A risk factor increases one's chances of getting a condition compared to an individual without the risk factors. Some risk factors are more important than others. 

Also, not having a risk factor does not mean that an individual will not get the condition. It is always important to discuss the effect of risk factors with your healthcare provider. 

What are the Causes of Sesamoiditis? (Etiology) 

The common causes of Sesamoiditis include:

  • Repetitive stress on the forefoot due to certain physical or sports activities
  • Direct trauma to the sesamoid bones
  • Osteoarthritis of the sesamoid bones
  • Excessive pronation (inward movement) of the foot

What are the Signs and Symptoms of Sesamoiditis? 

The signs and symptoms of Sesamoiditis may include:

  • Gradual onset of pain under the joint of the big toe
  • Difficulty bending and straightening the big toe
  • Difficulty walking

How is Sesamoiditis Diagnosed? 

Diagnostic methods that a physician may use to help diagnose Sesamoiditis include:

  • Physical examination: During a physical examination, the physician will examine for tenderness at the sesamoid bones. The physician may also ask the individual to bend and straighten the big toe. In addition to this, a complete medical history can aid in arriving at a definitive diagnosis
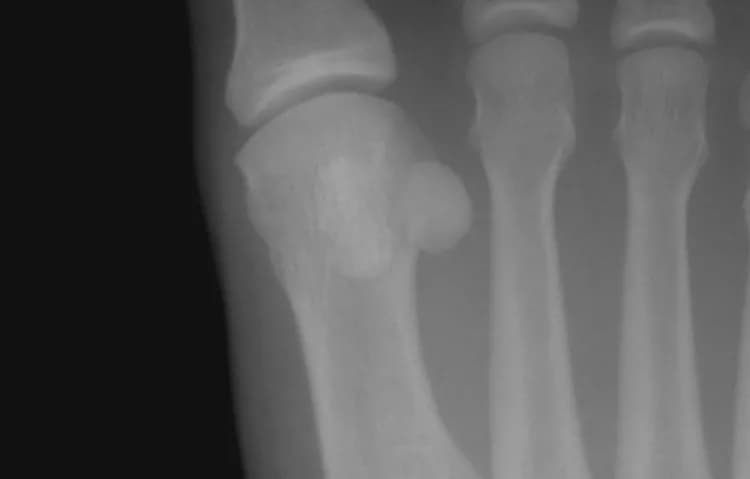
  • X-ray of the foot: X-rays use radiation to produce images of the foot. In many individuals, the sesamoid bone close to the center of the foot (the medial sesamoid) has two parts, called bipartite. Given that the edges of the bipartite sesamoid are usually smooth, and the edges of fractured sesamoids are usually jagged, x-rays are very important in assuring a correct diagnosis. A physician may also order an x-ray of the other foot to compare the bone structures
  • Additionally, a bone scan may be ordered if the x-rays appear normal

Many clinical conditions may have similar signs and symptoms. Your healthcare provider may perform additional tests to rule out other clinical conditions to arrive at a definitive diagnosis. 

What are the possible Complications of Sesamoiditis? 

The complications of Sesamoiditis include:

  • Prolonged and chronic pain, if left untreated
  • Weakness and deformity of the toe
  • Fracture of the sesamoid bone

How is Sesamoiditis Treated? 

Sesamoiditis is mostly treated with conservative and nonsurgical interventions. However, surgery is an option, if the pain or other symptoms show no improvement.

Nonsurgical treatment for Sesamoiditis may include: 

  • Any activity that further aggravates the condition should be avoided. The physician usually recommends refraining from all such activities until the symptoms improve
  • Applying ice to the affected area can help reduce pain
  • Non-steroidal anti-inflammatory oral medications, such as ibuprofen or naproxen, may be used to treat Sesamoiditis. These medications can help decrease the pain
  • Corticosteroid injections help provide temporary relief of symptoms and in improving the range of motion. It is important to note that corticosteroid injections only give temporary relief. Prolonged episodes of such injections may injure the joints in the long run
  • Use of a well-padded custom-made shoe with soft soles and low heels
  • Physical therapy may help to restore strength, as well as flexibility in the muscles

Surgical treatment for Sesamoiditis may include:

  • Bone removal: A bone removal procedure is the surgical removal of an affected sesamoid bone
  • Scraping: Scraping is a surgical procedure used to scrape off the affected part of the tissue on the sesamoid bone. This procedure is performed when individuals are diagnosed with plantar keratosis
  • Bone graft: A bone graft is a surgical procedure that involves repairing and replacing damaged bones. This is performed in case a fracture results from Sesamoiditis

How can Sesamoiditis be Prevented? 

Some of the common recommendations to help prevent Sesamoiditis include:

  • Wear appropriate footwear
  • Joggers and runners should use orthotic insoles to help with overpronation (higher susceptibility to sports injuries)

What is the Prognosis of Sesamoiditis? (Outcomes/Resolutions)

  • The majority of Sesamoiditis cases are successfully treated without surgery. The long-term prognosis is usually good after treatment
  • When properly treated, a high percentage of individuals regain their full strength and range of motion in their foot

Additional and Relevant Useful Information for Sesamoiditis:

The patella (kneecap) is the largest sesamoid bone.

Was this article helpful

On the Article

Maulik P. Purohit MD MPH picture
Approved by

Maulik P. Purohit MD MPH

Assistant Medical Director, Medical Editorial Board, DoveMed Team

0 Comments

Please log in to post a comment.

Related Articles

Test Your Knowledge

Asked by users

Related Centers

Loading

Related Specialties

Loading card

Related Physicians

Related Procedures

Related Resources

Join DoveHubs

and connect with fellow professionals

Related Directories

Who we are

At DoveMed, our utmost priority is your well-being. We are an online medical resource dedicated to providing you with accurate and up-to-date information on a wide range of medical topics. But we're more than just an information hub - we genuinely care about your health journey. That's why we offer a variety of products tailored for both healthcare consumers and professionals, because we believe in empowering everyone involved in the care process.
Our mission is to create a user-friendly healthcare technology portal that helps you make better decisions about your overall health and well-being. We understand that navigating the complexities of healthcare can be overwhelming, so we strive to be a reliable and compassionate companion on your path to wellness.
As an impartial and trusted online resource, we connect healthcare seekers, physicians, and hospitals in a marketplace that promotes a higher quality, easy-to-use healthcare experience. You can trust that our content is unbiased and impartial, as it is trusted by physicians, researchers, and university professors around the globe. Importantly, we are not influenced or owned by any pharmaceutical, medical, or media companies. At DoveMed, we are a group of passionate individuals who deeply care about improving health and wellness for people everywhere. Your well-being is at the heart of everything we do.

© 2023 DoveMed. All rights reserved. It is not the intention of DoveMed to provide specific medical advice. DoveMed urges its users to consult a qualified healthcare professional for diagnosis and answers to their personal medical questions. Always call 911 (or your local emergency number) if you have a medical emergency!