DoveMed.com

Pelvic Lipomatosis

Article
Kidney & Bladder Health
Diseases & Conditions
+1
Contributed byKrish Tangella MD, MBADec 18, 2018

What are the other Names for this Condition? (Also known as/Synonyms)

  • Pelvic Fibrolipomatosis

What is Pelvic Lipomatosis? (Definition/Background Information)

  • Lipomatosis is a benign condition of fatty tissue overgrowth, when abnormal levels of fat are spread over a wide area in the body with an uneven distribution pattern. The fatty tissues can even infiltrate the underlying or adjacent muscle layers
  • Pelvic Lipomatosis is a rare, benign condition that involves an overgrowth of fat cells in the pelvis; particularly in the region near the urinary bladder or rectum
  • Generally, dark-skinned African males are affected more than individuals of any other race or gender. There are no specific risk factors for Pelvic Lipomatosis, but studies show that a majority are linked to proliferative cystitis
  • The clinical features of Pelvic Lipomatosis include obstructive signs and symptoms affecting the genitourinary, digestive, and vascular system, due to compression effect of the lipomatosis mass
  • In case of significant signs and symptoms, an excisional surgery to remove the abnormal pelvic fat is recommended. A urinary diversion invasive procedure may be performed to ensure unrestricted urine flow
  • The prognosis of Pelvic Lipomatosis depends upon the severity of the signs and symptoms and the overall health of the individual. Complications, such as kidney damage, may adversely affect the prognosis

Who gets Pelvic Lipomatosis? (Age and Sex Distribution)

  • Some studies indicate that Pelvic Lipomatosis is mostly observed in adults in the 20-50 year age category
  • Both males and females are affected, but a male preference is noted
  • Even though all geographical, racial, or ethnic groups are affected, lipomatosis in the pelvic region is mostly seen in dark-skinned (African) individuals, between 9-80 years of age

What are the Risk Factors for Pelvic Lipomatosis? (Predisposing Factors)

The following potential risk factors have been identified for Pelvic Lipomatosis:

  • Some studies report that over 70% of the cases are associated with proliferative cystitis (a type of tumor in the urinary bladder causing inflammation of the bladder), which takes place due to bladder drain blockage
  • Obesity
  • Endocrinal abnormalities due to conditions, such as diabetes or Cushing’s disease, has been observed in a small subset of individuals
  • Some researchers believe that it may be due to chronic urinary tract infections
  • A positive family history may be a risk factor, since some lipomatosis cases are known to inherited in an autosomal dominant manner

It is important to note that having a risk factor does not mean that one will get the condition. A risk factor increases ones chances of getting a condition compared to an individual without the risk factors. Some risk factors are more important than others.

Also, not having a risk factor does not mean that an individual will not get the condition. It is always important to discuss the effect of risk factors with your healthcare provider.

What are the Causes of Pelvic Lipomatosis? (Etiology)

  • The exact cause and mechanism of Pelvic Lipomatosis formation is unknown
  • An autosomal dominant pattern of inheritance has been observed in some forms of lipomatosis

Autosomal dominant: Autosomal dominant conditions are traits or disorders that are present when only one copy of the mutation is inherited on a non-sex chromosome. In these types of conditions, the individual has one normal copy and one mutant copy of the gene. The abnormal gene dominates, masking the effects of the correctly function gene. If an individual has an autosomal dominant condition, the chance of passing the abnormal gene on to their offspring is 50%. Children, who do not inherit the abnormal gene, will not develop the condition or pass it on to their offspring.

What are the Signs and Symptoms of Pelvic Lipomatosis?

Individuals with Pelvic Lipomatosis have excessive fat deposition that compresses organs within the pelvis (comprising the digestive, urinary, genital, and vascular systems) giving rise to associated signs and symptoms:

  • The tumor mass is mostly seen around the urinary bladder (perivesical region) or around the rectum (perirectum region)
  • The lower gastrointestinal tract can be obstructed
  • Obstruction of the urinary tract, which if left undiagnosed or untreated can result in kidney damage
  • It can cause increased urination frequency (both during day and night), painful urination, blood in urine, or urinary incontinence
  • Constipation, bleeding from the rectum, or mucus-stained stools; sometimes, there is an increased urgency to empty the bowels frequently
  • Swelling of the feet (edema), due to the kidneys being affected
  • Pain in the back, abdomen, and perineum (region in the lower pelvis, between the legs) 

How is Pelvic Lipomatosis Diagnosed?

A diagnosis of Pelvic Lipomatosis is made using the following tools:

  • Complete physical examination with thorough evaluation of the individual’s medical history
  • CT and MRI scan of the pelvis: It can show extent of fat accumulation in the various parts of the pelvic region
  • Intravenous pyelogram (IVP): A series of X-rays using contrast dyes to detect abnormalities in the kidneys
  • Suitable tests for diabetes, Cushing syndrome, urinary tract infections, etc. (if suspected or present)
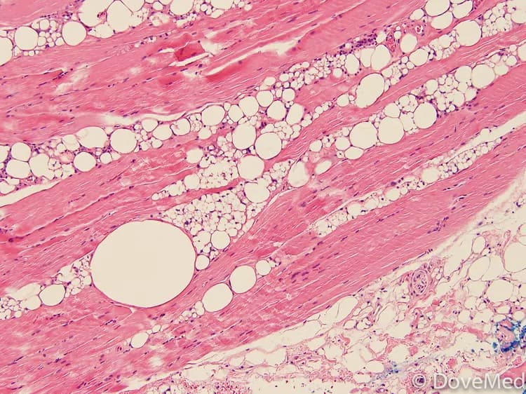
  • Tissue biopsy: A tissue biopsy is performed and sent to a laboratory for a pathological examination, who examines the biopsy under a microscope. After putting together clinical findings, special studies on tissues (if needed) and with microscope findings, the pathologist arrives at a definitive diagnosis

Many clinical conditions may have similar signs and symptoms. Your healthcare provider may perform additional tests to rule out other clinical conditions to arrive at a definitive diagnosis.

What are the possible Complications of Pelvic Lipomatosis?

The complications from Pelvic Lipomatosis could include:

  • Emotional stress and severely affected quality of life
  • Severely blocked intestinal tract with significant signs and symptoms
  • It can also cause swollen kidneys when urine is not properly drained from the kidneys, which can potentially result in kidney failure
  • Recurrence after surgery at the same location, is observed in almost all cases

How is Pelvic Lipomatosis Treated?

The treatment measures for Pelvic Lipomatosis may include the following:

  • In case of mild signs and symptoms, non-surgical conservative options may be considered (if kidney function is not compromised)
  • In case of severe urinary system and kidney dysfunction, urinary diversion may be necessary. In this surgical procedure, the urine is diverted through an alternative route
  • Surgical excision with removal of the entire tumor (abnormally fatty tissue). But, since recurrence of the tumor is high, surgery is undertaken to offer relief from symptoms and improve overall quality of life
  • In very rare cases, a portion of the urinary bladder may have to be removed
  • Treatment for any underlying conditions accordingly
  • Follow-up care with regular screening and check-ups are important and encouraged

Note: Medications, steroidal therapy, and lifestyle changes including dietary control have not been found to be effective in treating Pelvic Lipomatosis.

How can Pelvic Lipomatosis be Prevented?

  • Current medical research has not established a way of preventing Pelvic Lipomatosis, since the cause of the condition is not well known
  • However, a healthy lifestyle with a proper diet and adequate physical activity may help in reducing the risk for the condition

What is the Prognosis of Pelvic Lipomatosis? (Outcomes/Resolutions)

  • The prognosis of Pelvic Lipomatosis depends upon several factors including:
    • The underlying cause of the condition
    • Severity of the signs and symptoms
    • Overall health of the individual
    • Response to treatment
  • Lipomatosis may be treated through surgery, although the probability of tumor recurrence is very high
  • Pelvic Lipomatosis with minor signs and symptoms has better prognosis than severe Pelvic Lipomatosis, especially when urinary bladder and renal function are severely impaired

Additional and Relevant Useful Information for Pelvic Lipomatosis:

  • Urinary bladder removal (or cystectomy) involves the surgical removal of the urinary bladder and reconstruction of the urinary tract to aid in urine discharge

The following link will help you understand urinary bladder removal surgical procedure:

http://www.dovemed.com/common-procedures/procedures-surgical/urinary-bladder-removal-for-urinary-bladder-cancer/

Was this article helpful

On the Article

Krish Tangella MD, MBA picture
Approved by

Krish Tangella MD, MBA

Pathology, Medical Editorial Board, DoveMed Team

0 Comments

Please log in to post a comment.

Related Articles

Test Your Knowledge

Asked by users

Related Centers

Loading

Related Specialties

Loading card

Related Physicians

Related Procedures

Related Resources

Join DoveHubs

and connect with fellow professionals

Related Directories

Who we are

At DoveMed, our utmost priority is your well-being. We are an online medical resource dedicated to providing you with accurate and up-to-date information on a wide range of medical topics. But we're more than just an information hub - we genuinely care about your health journey. That's why we offer a variety of products tailored for both healthcare consumers and professionals, because we believe in empowering everyone involved in the care process.
Our mission is to create a user-friendly healthcare technology portal that helps you make better decisions about your overall health and well-being. We understand that navigating the complexities of healthcare can be overwhelming, so we strive to be a reliable and compassionate companion on your path to wellness.
As an impartial and trusted online resource, we connect healthcare seekers, physicians, and hospitals in a marketplace that promotes a higher quality, easy-to-use healthcare experience. You can trust that our content is unbiased and impartial, as it is trusted by physicians, researchers, and university professors around the globe. Importantly, we are not influenced or owned by any pharmaceutical, medical, or media companies. At DoveMed, we are a group of passionate individuals who deeply care about improving health and wellness for people everywhere. Your well-being is at the heart of everything we do.

© 2023 DoveMed. All rights reserved. It is not the intention of DoveMed to provide specific medical advice. DoveMed urges its users to consult a qualified healthcare professional for diagnosis and answers to their personal medical questions. Always call 911 (or your local emergency number) if you have a medical emergency!