DoveMed.com

Pediatric Non-Alcoholic Steatohepatitis

Article
Digestive Health
Kids' Zone
+5
Contributed byKrish Tangella MD, MBASep 02, 2020

What are the other Names for this Condition? (Also known as/Synonyms)

  • NASH in Children
  • Non-Alcoholic Steatohepatitis in Children
  • Pediatric Non-Alcoholic Fatty Liver Disease

What is Pediatric Non-Alcoholic Steatohepatitis? (Definition/Background Information)

  • Pediatric Non-Alcoholic Steatohepatitis (Pediatric NASH) is a form of non-alcoholic steatohepatitis (NASH) that affects children and adolescents (more common in prepubertal males). NASH is also seen in adults
  • NASH is a condition on the spectrum of non-alcoholic fatty liver diseases (NAFLD). The spectrum includes:
    • Steatosis (fatty liver)
    • NASH (fatty liver with accompanying inflammation)
    • Cirrhosis (irreversible liver scarring)
    • And eventually, hepatocellular carcinoma (liver cancer)           
  • NASH is characterized by fat accumulation (steatosis) followed by inflammation (hepatitis) due to unknown reasons, other than alcohol, drugs, and medications. This inflammation can derange liver function and damage the liver structure
  • Pediatric NASH is divided into two types:
    • Type 1 Pediatric NASH: Type 1 Pediatric NASH shows liver biopsies that resemble adult NASH
    • Type 2 Pediatric NASH: Type 2 Pediatric NASH shows liver biopsies that are unique in appearance
  • Obesity, diabetes mellitus, insulin resistance, hypertriglyceridemia, and being a male, all increase one’s risk of developing the condition. However, the cause of Pediatric Non-Alcoholic Steatohepatitis is unknown
  • Typically, individuals with Pediatric NASH do not have any symptoms, which make it difficult to diagnose the condition. NASH in Children is usually identified during routine checkups and confirmed by blood tests, imaging tools, or liver biopsies
  • Pediatric NASH may be treated through a combination of weight loss programs, medications to treat diabetes mellitus, vitamin E, and using other medications. Most children with the condition have a good prognosis, when lifestyle changes are made to control weight. Untreated or severe progressive conditions may lead to liver cirrhosis and liver failure

Who gets Pediatric Non-Alcoholic Steatohepatitis? (Age and Sex Distribution)

  • Pediatric Non-Alcoholic Steatohepatitis exclusively occurs in children and adolescents. Pre-pubescent children are more commonly affected
  • The condition is more common in males than in females
  • Type 2 Pediatric NASH appears at an earlier age than Type 1 Pediatric NASH
  • The type 2 form occurs in people of Asian, Hispanic, and Native American descent, at higher rates than other ethnicities

What are the Risk Factors for Pediatric Non-Alcoholic Steatohepatitis? (Predisposing Factors)

Risk factors of Pediatric Non-Alcoholic Steatohepatitis include:

  • Obesity, which causes individuals to carry extra fat deposits. One function of the liver is to break down fats. If excess fat is found in the body, the liver cannot efficiently break down fats, which may lead to fat accumulation in the liver. A sedentary lifestyle and over-nutrition (adding extra calories at mealtimes regularly) can lead to weight gain and obesity
  • Individuals who are insulin resistant can develop diabetes mellitus. This increases the risk of developing Pediatric NASH 
  • Hypertriglyceridemia (high blood triglyceride levels) increases the risk
  • Males are more likely to develop the condition than females
  • Asians, Hispanics, and Native Americans have a higher risk of developing Type 2 Pediatric NASH

It is important to note that having a risk factor does not mean that one will get the condition. A risk factor increases one's chances of getting a condition compared to an individual without the risk factors. Some risk factors are more important than others.

Also, not having a risk factor does not mean that an individual will not get the condition. It is always important to discuss the effect of risk factors with your healthcare provider.

What are the Causes of Pediatric Non-Alcoholic Steatohepatitis? (Etiology)

  • The cause and mechanism of Pediatric Non-Alcoholic Steatohepatitis is currently unknown
  • Researchers believe that autoimmune mechanisms, metabolic abnormalities, and insulin resistance may play a role in its development

What are the Signs and Symptoms of Pediatric Non-Alcoholic Steatohepatitis?

Most children with Pediatric Non-Alcoholic Steatohepatitis are usually asymptomatic, until it becomes severe. If the condition remains undiagnosed and untreated, signs and symptoms may arise that may include:

  • Mild symptoms: Fatigue, malaise (general discomfort or unease), and abdominal pain
  • When the liver is functioning properly, it carries out essential functions related to digestion, metabolism, immunity, and nutrient storage. When the liver is not functioning properly:
    • It cannot synthesize blood proteins to maintain oncotic pressure in blood. As a result, edema, or abnormal fluid accumulation in the belly, can occur
    • Liver function abnormalities can also result in jaundice or yellowing of the skin. When the liver is unable to process red blood cells as they break down, bilirubin can build up in the body causing the skin to become yellow  
  • Liver enlargement due to inflammation can result in abdominal pain
  • Cirrhosis, or irreversible scarring of the liver

How is Pediatric Non-Alcoholic Steatohepatitis Diagnosed?

Non-Alcoholic Steatohepatitis in Children is diagnosed using the following tools:

  • Thorough evaluation of the individual’s medical history and a complete physical examination. An evaluation of medical history will determine if there is a presence of predisposing factors such as obesity or diabetes mellitus. Physical examination and clinical workup may uncover findings such as edema or liver enlargement
  • Waist circumference is a type of measurement for visceral fat. A high waist circumference may predict if Pediatric NASH will develop in the child
  • Triglyceride levels can be used a predictor of Pediatric NASH. High triglyceride levels correlate well with the development of the condition
  • Liver function tests, which are done by collecting blood samples, can determine if liver enzymes are present at abnormal levels. Normally, the liver enzymes are only present in the liver cells. When the liver cells become damaged, the enzymes are released into blood
  • Ultrasounds, MRIs, and CT scans can be used to image the liver and determine if inflammation or fat deposits are present. Although, CT scans are generally not performed in children, as they expose children to radiation
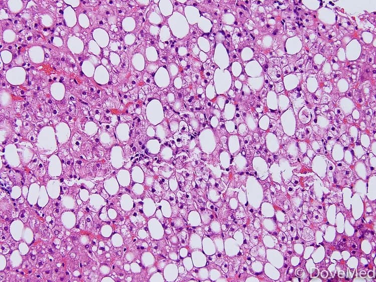
  • A liver biopsy can be used to identify fat deposits and inflammation in the liver. After the biopsy sample is collected, it is analyzed by a pathologist to arrive at a definitive diagnosis

    • Type 1 Pediatric NASH biopsy is similar to conventional adult NASH. Pathologists note fat accumulation and liver cell injury in the form of “ballooning degeneration”
    • Type 2 Pediatric NASH biopsy also shows fat accumulation, but in the portal tracts of the liver
    • While a liver biopsy provides a definitive diagnosis, it is an invasive procedure. Physicians usually advise a liver biopsy, only if the diagnosis is inconclusive using other methods

Many clinical conditions may have similar signs and symptoms. Your healthcare provider may perform additional tests to rule out other clinical conditions in order to arrive at a definitive diagnosis.

What are the possible Complications of Pediatric Non-Alcoholic Steatohepatitis?

Complications associated with Pediatric NASH depend on the severity of the disorder:

  • Liver failure may arise due to continued damage to the liver as a result of fat deposits and liver inflammation
  • Atherosclerosis (plaque buildup in the arteries) and other cardiovascular complications can occur due to Non-Alcoholic Steatohepatitis in Children during the later stages (after years)
  • Cirrhosis and hepatocellular carcinoma (a type of liver cancer) can occur if the condition is left untreated, or if it progresses

How is Pediatric Non-Alcoholic Steatohepatitis Treated?

Treatment for Pediatric Non-Alcoholic Steatohepatitis depends on the severity of the disease. A typical treatment plan for a child with the condition may include:

  • Weight loss programs to control obesity through diet, exercise, and medication. A low glycemic index diet has been shown to be effective in lowering one’s BMI
  • Control of diabetes using medications and lifestyle changes
  • Family participation and family-based behavioral intervention are important for successful outcomes. It is important that the family supports and enforces the necessary lifestyle changes

Regardless of what treatment is received, follow-up care and regular screening are important to ensure that Pediatric Non-Alcoholic Steatohepatitis does not progress and cause further complications.

How can Pediatric Non-Alcoholic Steatohepatitis be Prevented?

  • The risk of developing Pediatric Non-Alcoholic Steatohepatitis can be reduced by losing weight (if you are obese or overweight)
  • Use of medications that control blood sugar levels and other conditions that arise from diabetes can help in preventing Pediatric NASH

It is not always possible to follow these preventative measures. It is important to attend regular medical screenings so that Pediatric NASH can be detected early and treated properly.

What is the Prognosis of Pediatric Non-Alcoholic Steatohepatitis? (Outcomes/Resolutions)

  • The prognosis of Pediatric Non-Alcoholic Steatohepatitis is fair to good with timely diagnosis and appropriate treatment
  • Recent research has shown that individuals with Pediatric NASH who underwent lifestyle changes to control their weight (through exercise and diet changes), showed significant improvements in weight, liver enzyme tests, and liver biopsy results

Additional and Relevant Useful Information for Pediatric Non-Alcoholic Steatohepatitis:

  • Liver needle biopsy is a minimally-invasive procedure. During this procedure, a biopsy of the liver tissue is performed to evaluate liver abnormalities

The following article link will help you understand liver needle biopsy:

http://www.dovemed.com/common-procedures/procedures-surgical/liver-needle-biopsy/

Was this article helpful

On the Article

Krish Tangella MD, MBA picture
Approved by

Krish Tangella MD, MBA

Pathology, Medical Editorial Board, DoveMed Team

0 Comments

Please log in to post a comment.

Related Articles

Test Your Knowledge

Asked by users

Related Centers

Loading

Related Specialties

Loading card

Related Physicians

Related Procedures

Related Resources

Join DoveHubs

and connect with fellow professionals

Related Directories

Who we are

At DoveMed, our utmost priority is your well-being. We are an online medical resource dedicated to providing you with accurate and up-to-date information on a wide range of medical topics. But we're more than just an information hub - we genuinely care about your health journey. That's why we offer a variety of products tailored for both healthcare consumers and professionals, because we believe in empowering everyone involved in the care process.
Our mission is to create a user-friendly healthcare technology portal that helps you make better decisions about your overall health and well-being. We understand that navigating the complexities of healthcare can be overwhelming, so we strive to be a reliable and compassionate companion on your path to wellness.
As an impartial and trusted online resource, we connect healthcare seekers, physicians, and hospitals in a marketplace that promotes a higher quality, easy-to-use healthcare experience. You can trust that our content is unbiased and impartial, as it is trusted by physicians, researchers, and university professors around the globe. Importantly, we are not influenced or owned by any pharmaceutical, medical, or media companies. At DoveMed, we are a group of passionate individuals who deeply care about improving health and wellness for people everywhere. Your well-being is at the heart of everything we do.

© 2023 DoveMed. All rights reserved. It is not the intention of DoveMed to provide specific medical advice. DoveMed urges its users to consult a qualified healthcare professional for diagnosis and answers to their personal medical questions. Always call 911 (or your local emergency number) if you have a medical emergency!