DoveMed.com

Neurotized Nevus

Article
Skin Care
Diseases & Conditions
+1
Contributed byLester Fahrner, MD+1 moreMar 15, 2021

What are the other Names for this Condition? (Also known as/Synonyms)

  • Ancient Common Mole
  • Neurotized Melanocytic Nevus
  • Neurotized Naevus

What is Neurotized Nevus? (Definition/Background Information)

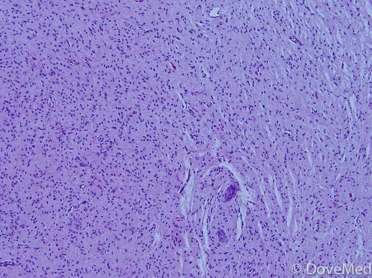
  • A nevus (plural nevi) is a mole on the skin that can occur on any part of the body. A Neurotized Nevus is a type of mole. In this type, the melanocytes are in the dermis. With time, there is fibrosis around these melanocytes resulting in a benign Neurotized Nevus
  • A diagnosis is not made clinically by examining the patient, since the Neurotized Nevus resembles a common mole. The definitive diagnosis is made by a pathologist under the microscope
  • When the nevus is examined by a pathologist under the microscope, the melanocytes appear like spindle cells resembling a nerve; and hence, it is called a Neurotized Nevus
  • Normally, Neurotized Nevi are present in all individuals including children and adults. The condition is more common in fair-skinned individuals than dark-skinned individuals. Sun exposure is a risk factor for acquiring the condition
  • In many cases, the nevus occurs in a random manner, while few cases are known to run in families. However, the cause of formation of a Neurotized Nevus is generally unknown. Research studies have implicated certain genetic mutations as being the probable cause
  • Treatment is generally not required for Neurotized Nevus, unless it presents cosmetic issues. The prognosis is usually excellent with appropriate treatment, since these moles are generally benign

Who gets Neurotized Nevus? (Age and Sex Distribution)

  • A Neurotized Nevus may be present at birth or form at any age in an individual. Both children and adults may be observed with this nevus type
  • Both males and females are affected and there is no gender bias observed
  • All racial and ethnic groups are at risk, but this nevus is more frequent in fair-skinned individuals (Caucasians) than dark-skinned individuals (such as some Africans or Asians)

What are the Risk Factors for Neurotized Nevus? (Predisposing Factors)

The risk factors for Neurotized Nevus may include:

  • Sun exposure
  • A positive family history of the mole, in some cases
  • Generally, lighter-skinned races or individuals (such as Caucasians of America and Europe) are at a higher risk compared to other darker-skinned racial groups (such as Africans and Asians)

It is important to note that having a risk factor does not mean that one will get the condition. A risk factor increases one’s chances of getting a condition compared to an individual without the risk factors. Some risk factors are more important than others.

Also, not having a risk factor does not mean that an individual will not get the condition. It is always important to discuss the effect of risk factors with your healthcare provider.

What are the Causes of Neurotized Nevus? (Etiology)

  • The cause of Neurotized Nevus formation is unknown, in a majority of cases. In some cases, certain gene mutations have been documented
  • Most cases occur sporadically, meaning in a random fashion (sporadic, non-familial nevus). However, it can run in families too (in which case it is termed a familial nevus)

What are the Signs and Symptoms of Neurotized Nevus?

The signs and symptoms of Neurotized Nevus that may be observed include:

  • It is a benign mole of melanocytic cells on the skin. It can occur anywhere on the body, and may be single or many in numbers
  • It is usually well defined and less than 10 mm in size. The nevi are usually round or oval; although they can be of any shape
  • They can be present as a macule, papule, or nodule (raised mass)
  • The benign mole is usually slow-growing and pigmented. The color may vary from skin color to light brown to black. The pigment color over the mole is usually uniform

Neurotized Nevi usually occur early in life and grow, as the child becomes an adult. As one age, these moles may become smaller; in many cases, they are known to disappear, when one reaches the age of about 60 years.

How is Neurotized Nevus Diagnosed?

A Neurotized Nevus is diagnosed through the following tools:

  • Complete physical examination with evaluation of medical history
  • Dermoscopy: It is a diagnostic tool where a dermatologist examines the skin using a special magnified lens
  • Wood’s lamp examination: In this procedure, the healthcare provider examines the skin using ultraviolet light. It is performed to examine the change in skin pigmentation
  • Skin biopsy: A skin biopsy is performed and sent to a laboratory for a pathological examination. The pathologist examines the biopsy under a microscope. After putting together clinical findings, special studies on tissues (if needed) and with microscope findings, the pathologist arrives at a definitive diagnosis

Note: In majority of the cases, no biopsy is necessary. But they may be performed to rule out other conditions presenting similar signs and symptoms.

Many clinical conditions may have similar signs and symptoms. Your healthcare provider may perform additional tests to rule out other clinical conditions to arrive at a definitive diagnosis.

What are the possible Complications of Neurotized Nevus?

There are frequently no complications that arise from a Neurotized Nevus.

  • Nevertheless, in some individuals, it may give rise to cosmetic concerns
  • Scratching or itching of the moles may lead to bleeding and ulceration. This can cause secondary bacterial or fungal infections to develop

How is Neurotized Nevus Treated?

The treatment measures for Neurotized Nevus include:

  • The healthcare provider may choose to regularly observe the mole, to check for any atypical features; a “wait and watch” approach may be undertaken
  • Surgical excision and removal of the mole, if necessary for cosmetic reasons
  • The benign nevus can also be excised through electrocautery surgical procedure

How can Neurotized Nevus be Prevented?

Current medical research has not established a method of preventing Neurotized Nevi. However, the following measures can help prevent these moles from becoming either a dysplastic mole or a melanoma:

  • Minimize direct exposure to the sun’s ultraviolet (UV) rays
  • Avoid tanning beds and sun lamps
  • Perform self-examination of the skin, from head to toe, once a month (especially if you are at a higher risk)
  • Get a professional skin exam from a healthcare provider, once a year

What is the Prognosis of Neurotized Nevus? (Outcomes/Resolutions)

  • The prognosis of Neurotized Nevus is excellent on its complete excision and removal
  • Since these are benign moles, the prognosis is excellent, even if only periodic observation is maintained

Additional and Relevant Useful Information for Neurotized Nevus:

  • Common moles/nevi are of 3 types:
    • Junctional common mole
    • Compound common mole
    • Intradermal common mole
  • Do not pick or scratch the moles
Was this article helpful

On the Article

Krish Tangella MD, MBA picture
Approved by

Krish Tangella MD, MBA

Pathology, Medical Editorial Board, DoveMed Team
Lester Fahrner, MD picture
Reviewed by

Lester Fahrner, MD

Chief Medical Officer, DoveMed Team

0 Comments

Please log in to post a comment.

Related Articles

Test Your Knowledge

Asked by users

Related Centers

Loading

Related Specialties

Loading card

Related Physicians

Related Procedures

Related Resources

Join DoveHubs

and connect with fellow professionals

Related Directories

Who we are

At DoveMed, our utmost priority is your well-being. We are an online medical resource dedicated to providing you with accurate and up-to-date information on a wide range of medical topics. But we're more than just an information hub - we genuinely care about your health journey. That's why we offer a variety of products tailored for both healthcare consumers and professionals, because we believe in empowering everyone involved in the care process.
Our mission is to create a user-friendly healthcare technology portal that helps you make better decisions about your overall health and well-being. We understand that navigating the complexities of healthcare can be overwhelming, so we strive to be a reliable and compassionate companion on your path to wellness.
As an impartial and trusted online resource, we connect healthcare seekers, physicians, and hospitals in a marketplace that promotes a higher quality, easy-to-use healthcare experience. You can trust that our content is unbiased and impartial, as it is trusted by physicians, researchers, and university professors around the globe. Importantly, we are not influenced or owned by any pharmaceutical, medical, or media companies. At DoveMed, we are a group of passionate individuals who deeply care about improving health and wellness for people everywhere. Your well-being is at the heart of everything we do.

© 2023 DoveMed. All rights reserved. It is not the intention of DoveMed to provide specific medical advice. DoveMed urges its users to consult a qualified healthcare professional for diagnosis and answers to their personal medical questions. Always call 911 (or your local emergency number) if you have a medical emergency!