
The risk factors for Meckel’s Diverticulum may include:
It is important to note that having a risk factor does not mean that one will get the condition. A risk factor increases the chance of getting a condition in comparison to an individual without any risk factors. Some risk factors are more important than others.
At the same time, not having a risk factor does not mean one will not get a condition. For more clarity, discuss with your healthcare provider the effects of risk factors.
The cause of Meckel’s Diverticulum is tissue left over from the baby’s digestive tract that was formed during embryological growth and development in the womb. The left over tissue is known as the vitelline duct.
1 in 50 individuals may be born with Meckel’s Diverticulum. But, not all individuals with Meckel’s Diverticulum (children and adults) have signs and symptoms. Thus, in a majority of individuals, the condition remains undiagnosed, due to the absence of any presentation. In some, the signs and symptoms may develop later, as the child moves into adulthood.
In general, one-third of the affected individuals may have the following signs and symptoms of Meckel’s Diverticulum:
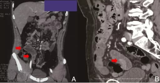
In a vast majority of individuals, Meckel’s Diverticulum often goes undiagnosed, because they have no signs and symptoms of the condition. In individuals who have signs and symptoms indicating the presence of a ‘possible’ Meckel’s Diverticulum, the following methods can be helpful in arriving at a diagnosis.
After the healthcare provider documents a thorough medical history and physical examination, the following tests may be conducted:
Many clinical conditions may have similar signs and symptoms. Your healthcare provider may perform additional tests to rule out other clinical conditions to arrive at a definitive diagnosis.
Children and infants are at the highest risk for complications, and for some reason, complications occur more often in males than females. Due to this, males are more frequently diagnosed with Meckel’s Diverticulum than females.
The possible complications with Meckel’s Diverticulum include:
Generally, individuals with Meckel’s Diverticulum presenting no signs and symptoms do not require any treatment. In others with significant signs and symptoms, the following treatment measures may be considered:
Currently, there are no definitive methods to prevent Meckel’s Diverticulum, which is a congenital condition.
Technetium scan or a Meckel’s scan: The scan procedure consists of injecting into the veins, a liquid with small amounts of radioactive molecules in it, called Technetium-99m. A camera, called a gamma camera, is used to take pictures of the abdomen after the liquid has been injected. The test will indicate the presence of rectal bleeding, one of the signs of Meckel’s Diverticulum.
and connect with fellow professionals
At DoveMed, our utmost priority is your well-being. We are an online medical resource dedicated to providing you with accurate and up-to-date information on a wide range of medical topics. But we're more than just an information hub - we genuinely care about your health journey. That's why we offer a variety of products tailored for both healthcare consumers and professionals, because we believe in empowering everyone involved in the care process.
Our mission is to create a user-friendly healthcare technology portal that helps you make better decisions about your overall health and well-being. We understand that navigating the complexities of healthcare can be overwhelming, so we strive to be a reliable and compassionate companion on your path to wellness.
As an impartial and trusted online resource, we connect healthcare seekers, physicians, and hospitals in a marketplace that promotes a higher quality, easy-to-use healthcare experience. You can trust that our content is unbiased and impartial, as it is trusted by physicians, researchers, and university professors around the globe. Importantly, we are not influenced or owned by any pharmaceutical, medical, or media companies. At DoveMed, we are a group of passionate individuals who deeply care about improving health and wellness for people everywhere. Your well-being is at the heart of everything we do.
0 Comments
Please log in to post a comment.