DoveMed.com

Lipoma of Pancreas

Article
Digestive Health
Diseases & Conditions
+1
Contributed byKrish Tangella MD, MBAMar 06, 2018

What are the other Names for this Condition? (Also known as/Synonyms)

  • Pancreatic Lipoma

What is Lipoma of Pancreas? (Definition/Background Information)

  • Lipoma of Pancreas is a benign tumor of the pancreas consisting of fat tissues (adipose tissues). It typically occurs in middle-aged and older adults
  • Most tumors do not cause any signs and symptoms, but in some individuals due to the large size of the tumor, there may be abdominal pain, indigestion, and loss of appetite
  • In many cases, these tumors are detected on radiological exams undertaken for some other health condition. Generally, no treatment is necessary for Lipoma of Pancreas. Though, surgery is an option for tumors that present severe symptoms
  • The prognosis of Pancreatic Lipoma is excellent with appropriate treatment, since it is a benign tumor

The pancreas is an important organ of the digestive system.

  • Based on function of the pancreas, it can be functionally divided into 2 parts, namely:
    • Exocrine pancreas, which produces digestive enzymes, and
    • Endocrine pancreas that produces hormones such as insulin, glucagon, and somatostatin. Insulin and glucagon helps with controlling sugar levels in blood
  • 95% of the pancreas is exocrine portion and 5% is endocrine portion. Pancreatic tumors (both benign and malignant) can arise from both the exocrine and the endocrine part
  • Based upon anatomy of the pancreas, it can be divided into 3 main parts, namely the:
    • Head,
    • Body, and
    • Tail
  • Pancreatic tumors can affect the head, body, and tail region of the pancreas. Some tumors can affect one area of the pancreas more than the other areas.

Hence, localizing the tumor site can guide the healthcare provider to arrive at a probable diagnosis.

Who gets Lipoma of Pancreas? (Age and Sex Distribution)

  • Lipoma of Pancreas occur in adults in the age group of 40-60 years
  • It can affect both males and females, though males are slightly affected more
  • The condition can occur worldwide; individuals of all racial and ethnic background may be affected

What are the Risk Factors for Lipoma of Pancreas? (Predisposing Factors)

The specific risk factors for Lipoma of Pancreas are unknown or unidentified. However, the general risk factors for pancreatic tumors/cancers include:

  • Advancing age: Pancreatic cancer may develop in individuals of all ages, but is seldom diagnosed in individuals younger than 55 years. An advancing age increases one’s risk for the condition
  • Gender: Generally, men are at a higher risk than women for developing pancreatic cancers
  • Smoking: It is one of the most important risk factor and heavy smokers are at the highest risk
  • Diabetes: Individuals with poorly-controlled and long-standing diabetes are at a greater risk
  • Family history: Pancreatic cancer in close blood-related family members is an important risk factor
  • Inflammation of the pancreas: Individuals with chronic pancreatitis (inflammation of the pancreas) for a long duration have an increased risk. It is important to note that alcohol consumption increases one’s susceptibility to pancreatitis
  • Overweight and obese individuals
  • Chronic exposure to various chemicals, especially due to one’s nature of occupation or residential location
  • Other factors include liver cirrhosis and gastrointestinal tract infections

The presence of certain genetic conditions can increase one’s risk for cancer of the pancreas, and these include:

  • Genetic syndromes increasing one’s risk for exocrine pancreatic cancers:
    • Hereditary breast and ovarian cancer syndromes
    • Familial atypical multiple mole melanoma syndrome
    • von Hippel-Lindau syndrome
    • Peutz-Jeghers syndrome
    • Lynch syndrome
    • Familial pancreatitis
  • Genetic syndromes increasing one’s risk for pancreatic neuroendocrine tumors:
    • Multiple endocrine neoplasia type 1 (MEN 1)
    • Neurofibromatosis type 1 (NF1)

Note: It is important to note that an individual diagnosed with cancer of the pancreas may not have any of the above-mentioned risk factors.

It is important to note that having a risk factor does not mean that one will get the condition. A risk factor increases ones chances of getting a condition compared to an individual without the risk factors. Some risk factors are more important than others.

Also, not having a risk factor does not mean that an individual will not get the condition. It is always important to discuss the effect of risk factors with your healthcare provider.

What are the Cause of Lipoma of Pancreas? (Etiology)

  • The exact cause of Lipoma of Pancreas development is unknown
  • Research scientists believe that the cause of the condition is mostly due to genetic mutations, which results in tumor formation

What are the Signs and Symptoms of Lipoma of Pancreas?

The signs and symptoms of Lipoma of Pancreas depend upon the size and location of the tumor. During the initial stages, small tumors may not cause any signs and symptoms that are readily recognized. Hence, these tumors are only detected incidentally, when being worked-up for other conditions (i.e., diagnostic tests and exams undertaken for other health conditions).

Pancreatic Lipomas are generally asymptomatic. In some cases, when the lipoma may grow to large sizes, the signs and symptoms may include:

  • Abdominal pain, back pain
  • Loss of appetite
  • Weight loss
  • Indigestion
  • Yellowing of skin (jaundice)
  • Nausea and vomiting
  • Dark-colored urine
  • Fatigue (getting tired easily)

How is Lipoma of Pancreas Diagnosed?

Frequently, pancreatic tumors are difficult to detect/diagnose in the early stages. The signs and symptoms can be very similar to other conditions. Since the pancreas is located in the peritoneum, behind many organs, there is a lot of space for the tumor to grow (often unnoticed).

The following are the diagnostic methods that may be used to detect Lipoma of Pancreas:

  • A thorough physical examination and a complete medical history is very important
  • Blood test to check for serum amylase levels
  • Complete blood count with differential
  • Blood tests that may involve tumors markers, such as:
    • Carcinoembryonic antigen (CEA)
    • CA 19.9
    • CA 15.3
    • Alpha fetoprotein
  • Radiological studies that may include:
    • Abdominal ultrasound: A procedure where high-frequency sound waves are used to produce real-time images
    • Endoscopic ultrasound: It is a minimally-invasive procedure that uses high-frequency sound waves to obtain detailed images of the pancreas
    • CT scan of abdomen: It may be helpful in detecting recurrences, or if metastasis to other organs has occurred
    • MRI scan of abdomen: It helps produce high-quality pictures of certain body parts including the tissues, muscles, nerves, and bones
  • Additionally, the following magnetic resonance imaging procedures may be used particularly in individuals suspected of having pancreatic tumor/cancer:
    • MR cholangio-pancreatography (MRCP)
    • MR angiography (MRA)
  • Positron emission tomography (PET) scan: It is particularly helpful in visualizing the spread of the cancer to other body parts (metastasis) and/or recurrence
  • Percutaneous transhepatic cholangiography (PTC): A contrast material is injected into the bile ducts to visualize the structure
  • Endoscopic retrograde cholangio-pancreatography (ERCP): This technique is used when symptoms of pancreatic cancer are present in the individual. A special equipment and dye injections are used to obtain a series of images. If required, a biopsy sample may also be collected during the procedure
  • Invasive diagnostic procedures such as:
    • Laparoscopy: A special device is inserted through a small hole into the abdomen, to visually examine it. If necessary, a tissue sample is obtained for further analysis. Exploration of the abdomen using a laparoscope is called ‘exploratory laparoscopy’
    • Laparotomy: The abdomen is opened through an incision for examination, and if required, a biopsy sample obtained. Exploration of the abdomen using laparotomy procedure is called ‘exploratory laparotomy’
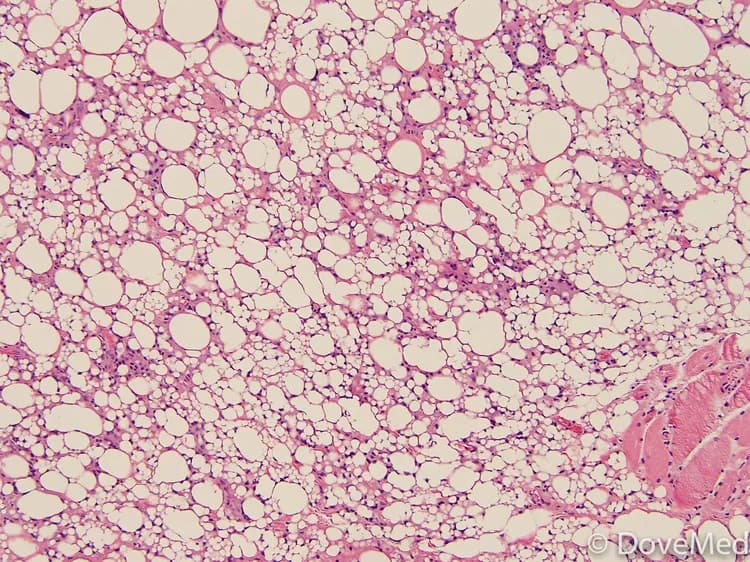
  • Tissue biopsy: A tissue biopsy is performed and sent to a laboratory for a pathological examination to the pathologist, who examines the biopsy under a microscope. After putting together clinical findings, special studies on tissues (if needed) and with microscope findings, the pathologist arrives at a definitive diagnosis

The tissue for diagnosis can be procured in multiple different ways, and they include:

  • Fine needle aspiration (FNA) biopsy of the pancreatic tumor:
    • A FNA biopsy may not be helpful, because one may not be able to visualize the different morphological areas of the tumor. Hence, a FNA biopsy as a diagnostic tool has certain limitations, and an open surgical biopsy is preferred
  • Core biopsy of the pancreatic tumor
  • Open biopsy of the pancreatic tumor

Many clinical conditions may have similar signs and symptoms. Your healthcare provider may perform additional tests to rule out other clinical conditions to arrive at a definitive diagnosis.

What are the possible Complications of Lipoma of Pancreas?

The complications due to Lipoma of Pancreas are rare, but may include the following:

  • Gastrointestinal obstruction
  • Biliary tract obstruction causing jaundice
  • Compress adjoining organs if the tumor size is large, which may cause the organs to dysfunction or function abnormally
  • If the tumor destroys enough islet cells of the pancreas, it can result in diabetes
  • Recurrence of the lipoma

How is Lipoma of Pancreas Treated?

The treatment for Lipoma of Pancreas may involve the following measures:

  • In most cases, there are no signs and symptoms and no treatment is necessary, since it is a benign condition. A close follow-up and monitoring of the tumor may be undertaken though
  • If there are noticeable signs and symptoms, then surgery to remove the tumor may be undertaken. A complete surgical excision is generally curative
  • Follow-up care with regular screening and checkups are important

How can Lipoma of Pancreas be Prevented?

Currently, there are no specific methods or guidelines to prevent Lipoma of Pancreas. However, the condition may be avoided through the following measures:

  • Not smoking
  • Not being obese or overweight
  • Physical activity: A moderate amount of physical activity can help decrease the risk
  • A healthy diet, low in saturated fats and rich in many fruits and vegetables, can also help decrease one’s risk for pancreatic cancer
  • Regular medical screening at periodic intervals with blood tests, scans, and physical examinations are important

What is the Prognosis of Lipoma of Pancreas? (Outcomes/Resolutions)

  • The prognosis of Lipoma of Pancreas is excellent with appropriate treatment (surgical removal)
  • Asymptomatic tumors may not require any treatment. However, regular follow up visits with the healthcare provider should be maintained

Additional and Relevant Useful Information for Lipoma of Pancreas:

  • Lipomas are known to occur in any part of the body (such as the muscle, bones, and even in the brain); most commonly they are noticed under the skin
  • It is estimated that the average lifetime risk of developing pancreatic cancer is about 1.5%
Was this article helpful

On the Article

Krish Tangella MD, MBA picture
Approved by

Krish Tangella MD, MBA

Pathology, Medical Editorial Board, DoveMed Team

0 Comments

Please log in to post a comment.

Related Articles

Test Your Knowledge

Asked by users

Related Centers

Loading

Related Specialties

Loading card

Related Physicians

Related Procedures

Related Resources

Join DoveHubs

and connect with fellow professionals

Related Directories

Who we are

At DoveMed, our utmost priority is your well-being. We are an online medical resource dedicated to providing you with accurate and up-to-date information on a wide range of medical topics. But we're more than just an information hub - we genuinely care about your health journey. That's why we offer a variety of products tailored for both healthcare consumers and professionals, because we believe in empowering everyone involved in the care process.
Our mission is to create a user-friendly healthcare technology portal that helps you make better decisions about your overall health and well-being. We understand that navigating the complexities of healthcare can be overwhelming, so we strive to be a reliable and compassionate companion on your path to wellness.
As an impartial and trusted online resource, we connect healthcare seekers, physicians, and hospitals in a marketplace that promotes a higher quality, easy-to-use healthcare experience. You can trust that our content is unbiased and impartial, as it is trusted by physicians, researchers, and university professors around the globe. Importantly, we are not influenced or owned by any pharmaceutical, medical, or media companies. At DoveMed, we are a group of passionate individuals who deeply care about improving health and wellness for people everywhere. Your well-being is at the heart of everything we do.

© 2023 DoveMed. All rights reserved. It is not the intention of DoveMed to provide specific medical advice. DoveMed urges its users to consult a qualified healthcare professional for diagnosis and answers to their personal medical questions. Always call 911 (or your local emergency number) if you have a medical emergency!