Nephron

Lipoleiomyoma of Uterine Corpus

Article
Sexual Health
Women's Health
+2
Contributed byKrish Tangella MD, MBAOct 29, 2018

What are the other Names for this Condition? (Also known as/Synonyms)

  • Leiomyoma of Uterine Corpus, Lipomatous Variant
  • Lipoleiomyoma of Uterus
  • Uterine Lipoleiomyoma

What is Lipoleiomyoma of Uterine Corpus? (Definition/Background Information)

  • Leiomyoma of Uterine Corpus (or commonly known as Uterine Fibroids) is the most common tumor of the uterus in young and middle-aged adult women. A leiomyoma is a benign smooth muscle tumor that can develop anywhere in the body
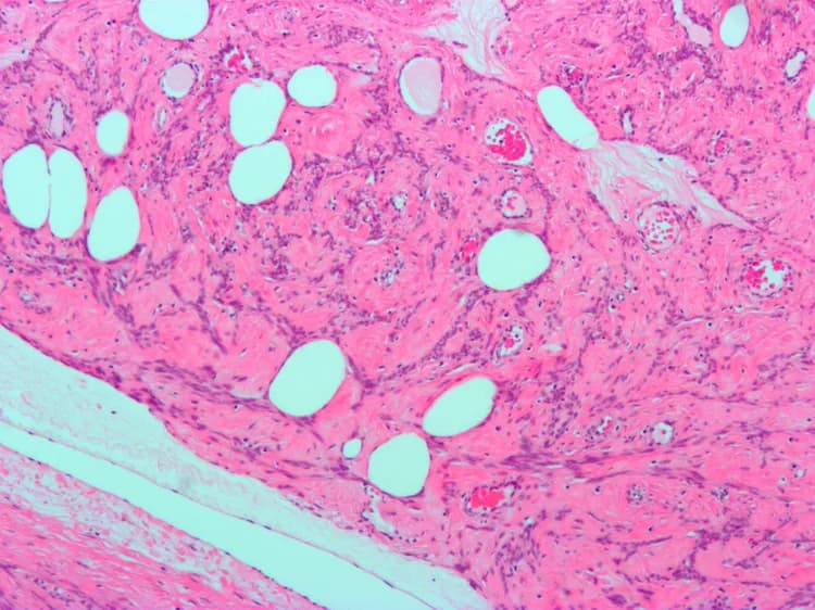
  • Lipoleiomyoma of Uterine Corpus is an uncommon morphological variant of Uterine Corpus Leiomyoma. The tumor is diagnosed histologically by a pathologist by observing a tumor specimen under the microscope
  • Some of the lipoleiomyoma tumors may appear like hibernomas or chondroid tumors. In rare cases, there may be the presence of cartilage, bone, and muscle cells. A lipoleiomyoma is the lipomatous variant of a leiomyoma
  • The tumors are generally painless and do not show any signs and symptoms in many cases. Some women may have pelvic pain and heavy bleeding during menstruation. Large tumors sizes can cause signs and symptoms due to compression of adjoining organ structures
  • The treatment of choice for Lipoleiomyoma of Uterine Corpus is a surgical removal of the entire tumor. In most cases, the prognosis is excellent with appropriate treatment

Who gets Lipoleiomyoma of Uterine Corpus? (Age and Sex Distribution)

No specific demographics for Lipoleiomyoma of Uterine Corpus, which is a rare tumor, are noted.

  • However, in general, Leiomyoma of Uterine Corpus may affect females of any age. It is mostly present in the 30-50 years age range (young and middle-age)
  • Women with the rare, genetic disorder, namely hereditary leiomyomatosis and renal cancer syndrome, may present with leiomyomas at an earlier age (while they are younger)
  • There is no geographical, racial, or ethnic preference noticed

What are the Risk Factors for Lipoleiomyoma of Uterine Corpus? (Predisposing Factors)

No specific risk factors are evident for Lipoleiomyoma of Uterine Corpus. In general, the risk factors for Leiomyoma of Uterine Corpus (or Uterine Fibroids) may include the following:

  • Family history of the condition
  • Imbalance of estrogen and progesterone hormone levels in the body
  • Women of African descent are at a higher risk in comparison to individuals of other races/ethnic groups
  • Early onset of menstruation (in girls)
  • Obesity, being overweight
  • High in meat and low in vegetables diet
  • Vitamin D deficiency
  • Excessive alcohol consumption

It is important to note that having a risk factor does not mean that one will get the condition. A risk factor increases ones chances of getting a condition compared to an individual without the risk factors. Some risk factors are more important than others.

Also, not having a risk factor does not mean that an individual will not get the condition. It is always important to discuss the effect of risk factors with your healthcare provider.

What are the Causes of Lipoleiomyoma of Uterine Corpus? (Etiology)

  • The exact cause of Lipoleiomyoma of Uterine Corpus development is unknown
  • In about 40% of Leiomyoma of Uterine Corpus cases, a genetic involvement is noted; chromosomal aberrations or deletions have been observed in chromosomes 6 and 7
  • Research is being performed to understand the causative factors of this rare condition

What are the Signs and Symptoms of Lipoleiomyoma of Uterine Corpus?

A majority of women do not show any signs and symptoms. In others, the signs and symptoms of Lipoleiomyoma of Uterine Corpus typically depend on the tumor location, size, and whether single or multiple tumors are present.

The following features of Lipoleiomyoma of Uterine Corpus may be generally observed:

  • The leiomyoma tumors are normally multiple in numbers
  • In some cases, there may be one large tumor with many small-sized tumors or nodules
  • The tumors are well-circumscribed and with clear borders
  • A wide size range is observed; some are mass-like tumors. The tumors may range in size from a few mm to over 30 cms
  • Most tumors are firm, while some are soft; some are fluid-filled
  • The tumors may be classified according to location, and may be:
    • Intramural tumors, found within the uterine walls
    • Submucosal tumors, found in the thin tissues beneath the mucosal layers
    • Subserosal tumors, found in the connective tissues (beneath the serosal layers)
  • Tumors at submucosal and subserosal locations are usually like a polyp, or hang in a bag-like structure (pedunculated)

The signs and symptoms of Lipoleiomyoma of Uterine Corpus may include the following:

  • Many women may have pain in the pelvic region, heavy bleeding during menstruation, and signs and symptoms occurring due to tumor compression
  • Women, who are pregnant or under progesterone therapy, may have abdominal pain, discomfort, and other abdomen-related signs and symptoms
  • Large tumors may cause a feeling of fullness in the abdomen
  • Enlargement of lower abdomen
  • Frequent urination due to compression/pressure of the tumor
  • Lower back pain
  • In a few individuals, the following may be noted:
    • Abdominal fluid (ascites)
    • Abnormally increased circulating red blood cells, due to the tumor presence (erythropoietin production)
    • Presence of leiomyomatosis peritonealis disseminate (rare condition characterized by multiple smooth muscle tumors)
    • Hereditary leiomyomatosis and renal cell cancer (familial form of cancer syndrome showing both uterus and kidney leiomyomas)
  • Pain during sexual intercourse
  • Bleeding can occur within large tumors (termed as intraleiomyoma hemorrhage)
  • Hemorrhage within the tumors can lead to tissue death (or infarction of leiomyoma)
  • The bleeding or tissue death within the tumor can also occur during treatment with hormones such as progesterone

How is Lipoleiomyoma of Uterine Corpus Diagnosed?

The diagnosis of Lipoleiomyoma of Uterine Corpus may involve:

  • Complete physical examination with thorough evaluation of medical history
  • Ultrasound scan of the pelvis: It is a noninvasive procedure that uses high frequency sound waves to produce real-time images
  • Abdominal and pelvic CT scan: It is a noninvasive procedure that provides more details of soft tissues, blood vessels, and internal organs
  • Pelvic MRI scan: It is a noninvasive medical test that uses a powerful magnetic field to produce images of soft tissues, bones, organs, and all other internal structures of the abdomen and pelvis
  • Blood tests that include:
    • Complete blood count (CBC) to detect the cause of anemia
    • Determination of estrogen/progesterone levels in blood
  • Hysteroscopy: This procedure involves placing a probe through the cervix to examine the cavity of the uterus. This exam is helpful in detecting submucosal leiomyomas
  • Hysterosalpingography: It is usually performed in individuals with infertility. In this procedure, the structure of the uterus and fallopian tubes are studied by using a dye and X-ray images
  • Needle biopsy of tumor: A needle biopsy may not be helpful, because one may not be able to visualize the different morphological areas of the tumor. Hence, a needle biopsy as a diagnostic tool has certain limitations, and an open surgical biopsy is preferred
  • Open biopsy of tumor: A tissue biopsy is performed and sent to a laboratory for a pathological examination, who examines the biopsy under a microscope. After putting together clinical findings, special studies on tissues (if needed) and with microscope findings, the pathologist arrives at a definitive diagnosis
  • Differential diagnosis, to eliminate other tumor types is considered, before arriving at a definitive diagnosis of Uterine Lipoleiomyoma

Note: Some tumors may resemble hibernomas or chondroid tumors.

Many clinical conditions may have similar signs and symptoms. Your healthcare provider may perform additional tests to rule out other clinical conditions to arrive at a definitive diagnosis.

What are the possible Complications of Lipoleiomyoma of Uterine Corpus?

The possible complications of Lipoleiomyoma of Uterine Corpus include:

  • Stress and anxiety due to fear of cancer of the uterus
  • Infertility
  • Heavy and prolonged menstrual bleeding may result in anemia
  • Polypoid tumors may undergo mechanical injury, such as torsion or twisting, which can result in excruciating pain
  • Such polyp-shaped tumors are known to cause cervical prolapse, in some cases
  • Uterine leiomyomas or fibroids that are attached to the body of the uterus with a pedicle (pedunculated fibroids) may separate from its point of attachment to the body of uterus. Such free-floating fibroids may attach itself to another structure in the abdomen, such as to the pelvic wall, ovary, fallopian tube, or intestines resulting in a parasitic leiomyoma. However, parasitic leiomyomas are not malignant tumors
  • Some tumors may grow to large sizes, and even grow out of the uterus affecting adjoining reproductive organs
  • Recurrence of the fibroid due to its partial or incomplete surgical removal
  • Complications due to underlying disorders such as hereditary leiomyomatosis and renal cell cancer or leiomyomatosis peritonealis disseminate

Complications that may develop in a pregnant woman include:

  • Pregnancy may cause the fibroids to grow larger in size suddenly
  • Loss of pregnancy
  • Preterm delivery
  • There is a higher incidence of the baby in the womb having an abnormal presentation (such as breech presentation)
  • Abruption of placenta: A premature detachment of the placenta from the walls of the uterus, before the baby is delivered
  • Intrauterine growth retardation (IUGR): It is a condition when a baby has less than average growth in the womb during pregnancy
  • Some study reports indicate that pregnant women with fibroids are 6-times more likely to undergoing a cesarean section (C-section) delivery, than a pregnant woman without the presence of any fibroids

How is Lipoleiomyoma of Uterine Corpus Treated?

The treatment of Lipoleiomyoma of Uterine Corpus may depend upon a consideration of the following set of factors:

  • Size of the leiomyoma/fibroid
  • Severity of the signs and symptoms
  • Location of the fibroids
  • Age of the individual
  • Whether the women is pregnant or not,
  • And the women’s desire to have children in future

The treatment may also depend upon the subtype or variant of the tumor. The following treatment methods may be employed:

  • Asymptomatic leiomyomas may not require any treatment; in such cases, the healthcare provider may chose to periodically observe and monitor the tumor
  • In some individuals, the size of the fibroids may shrink after menopause without any treatment
  • Medical treatment options:
    • Pain medications for fibroids causing pain
    • Hormonal treatment such as birth control pills
    • Dietary and lifestyle modification to address overweight issues
    • Taking supplements in case of vitamin D deficiency
    • Avoiding alcohol during pregnancy and limiting consumption
    • Treating iron-deficiency anemia, if any
  • In pregnant women:
    • Once the condition is diagnosed, the pregnant mother is closely monitored
    • The healthcare provider may recommend an increased frequency of prenatal appointments to monitor progress of the baby’s growth
  • Surgical treatment options: A simple surgical excision and removal of the entire tumor is normally sufficient treatment
    • Myomectomy: Removal of the fibroids (also known as fibroidectomy)
    • Hysterectomy: The removal of a part of the uterus or the entire uterus
    • Myolysis: In this procedure, a needle is inserted into the tumor/fibroid. After the insertion, the fibroid is destroyed either by using an electric current, or by a freezing technique
    • Tumor embolization is a possible treatment option. Here the blood supply to the tumor is blocked resulting in its death
    • Radiofrequency ablation: In this technique, the tumors are destroyed using radio waves
  • In case of women with heavy bleeding, endometrial ablation may be performed to control bleeding
  • Post-operative care is important: One must maintain minimum activity levels, until the surgical wound heals
  • Treatment of any underlying or associated disorder
  • Follow-up care with regular screening and check-ups are important

How can Lipoleiomyoma of Uterine Corpus be Prevented?

Current medical research has not established a way of preventing Lipoleiomyoma of Uterine Corpus. However, the following general factors may be considered to reduce the risk for tumor development:

  • Address any condition causing hormonal imbalance in the body
  • Maintain weight through proper diet modification and physical exercises, if you are overweight/obese
  • Avoid alcohol consumption or limit its intake
  • Have a balanced diet that is not high in meat and low in vegetables; a balanced diet can also help avoid any mineral or vitamin deficiencies in the body
  • Regular prenatal checkups are necessary to monitor the health of the expectant mother and baby in the womb
  • Regular medical screening at periodic intervals with blood tests, radiological scans, and physical examinations are mandatory, due to risk of recurrence of the tumor. Often several years of active vigilance is necessary

What is the Prognosis of Lipoleiomyoma of Uterine Corpus? (Outcomes/Resolutions)

  • In a majority of cases, the prognosis of Lipoleiomyoma of Uterine Corpus is generally excellent on surgical excision and removal of the tumor, since these are benign tumors
  • The prognosis, in general, depends upon a set of several factors that include:
    • The size and number of tumors(s): Individuals with few (or solitary), small-sized tumors fare better than those with numerous, large-sized tumors
    • Overall health of the individual: Individuals with overall excellent health have better prognosis compared with those with poor health
    • Age of the individual: Younger women relatively have a better prognosis than older women
    • Individuals with less bulky disease have a better prognosis than those with more bulky tumors
    • Involvement of vital organs may complicate the condition
    • The surgical respectability of the tumor (meaning, if the tumor can be removed completely)
    • Whether the tumor is occurring for the first time, or is a recurrent tumor. Recurring tumors have worse prognosis compared to tumors that do not recur
    • Response to treatment: Tumors that respond to treatment have better prognosis compared to tumors that do not respond to treatment
    • Progression of the condition may make the outcome worse
  • An early diagnosis and prompt treatment of the tumor generally yields better outcomes than a late diagnosis and delayed treatment
  • Pregnant women with Lipoleiomyoma of Uterine Corpus may have a higher risk for complications, which may affect both the expectant mother and baby
  • In case of any underlying disorders, the overall prognosis may be dependent upon the severity of the signs and symptoms of the underlying disorder

Additional and Relevant Useful Information for Lipoleiomyoma of Uterine Corpus:

  • Fibroid tumor removal (or myomectomy) is the surgical removal of fibroids from the uterus

The following link will help you understand fibroid tumor removal surgical procedure:

https://www.dovemed.com/common-procedures/procedures-surgical/fibroid-tumor-removal/

  • Hysterectomy is a surgical procedure characterized by the surgical removal of the uterus

The following link will help you understand hysterectomy surgical procedure:

https://www.dovemed.com/common-procedures/procedures-surgical/hysterectomy-abdominal-with-salpingo-oophorectomy/

  • Uterine fibroid embolization is a minimally-invasive procedure to treat fibroid tumors found in the uterus

The following link will help you understand uterine fibroid embolization radiology procedure:

http://www.dovemed.com/common-procedures/radiology-procedures/uterine-fibroid-embolization/

Was this article helpful

On the Article

Krish Tangella MD, MBA picture
Approved by

Krish Tangella MD, MBA

Pathology, Medical Editorial Board, DoveMed Team

0 Comments

Please log in to post a comment.

Related Articles

Test Your Knowledge

Asked by users

Related Centers

Loading

Related Specialties

Loading card

Related Physicians

Related Procedures

Related Resources

Join DoveHubs

and connect with fellow professionals

Related Directories

Who we are

At DoveMed, our utmost priority is your well-being. We are an online medical resource dedicated to providing you with accurate and up-to-date information on a wide range of medical topics. But we're more than just an information hub - we genuinely care about your health journey. That's why we offer a variety of products tailored for both healthcare consumers and professionals, because we believe in empowering everyone involved in the care process.
Our mission is to create a user-friendly healthcare technology portal that helps you make better decisions about your overall health and well-being. We understand that navigating the complexities of healthcare can be overwhelming, so we strive to be a reliable and compassionate companion on your path to wellness.
As an impartial and trusted online resource, we connect healthcare seekers, physicians, and hospitals in a marketplace that promotes a higher quality, easy-to-use healthcare experience. You can trust that our content is unbiased and impartial, as it is trusted by physicians, researchers, and university professors around the globe. Importantly, we are not influenced or owned by any pharmaceutical, medical, or media companies. At DoveMed, we are a group of passionate individuals who deeply care about improving health and wellness for people everywhere. Your well-being is at the heart of everything we do.

© 2023 DoveMed. All rights reserved. It is not the intention of DoveMed to provide specific medical advice. DoveMed urges its users to consult a qualified healthcare professional for diagnosis and answers to their personal medical questions. Always call 911 (or your local emergency number) if you have a medical emergency!