DoveMed.com

Lichen Sclerosus of Vulva

Article
Skin Care
Women's Health
+1
Contributed byKrish Tangella MD, MBAOct 28, 2018

What are the other Names for this Condition? (Also known as/Synonyms)

  • Vulvar Lichen Sclerosus

What is Lichen Sclerosus of Vulva? (Definition/Background Information)

  • Lichen sclerosus is a clinical condition of the skin, of unknown origin (in most cases) that commonly affects the genitalia. This chronic skin disorder is 10 times more common in females than males
  • In Lichen Sclerosus of Vulva, there is the presence of white spots on the vulva (female genital part around the vagina) that usually do not ulcerate and bleed. These spots may cause itching (most common symptom) and sometimes, pain. It has been established that some cases even have the potential to develop into invasive squamous cell carcinomas
  • Vulvar Lichen Sclerosus can be diagnosed through medical history evaluations, complete physical exam, and confirmed through a skin biopsy
  • A majority of the cases are asymptomatic and mild, requiring no treatment. In such cases, the prognosis of mild Lichen Sclerosus of Vulva is excellent. However, chronic and severe cases are difficult to treat

Who gets Lichen Sclerosus of Vulva? (Age and Sex Distribution)

  • Lichen Sclerosus of Vulva is a skin condition that has a bimodal age distribution in females; i.e., it affects young girls who are around 8 years old and older women who are aged 60 years
  • In general, both males and females are affected by lichen sclerosus. However, the condition is seen at a much higher incidence in females (10:1 female to male ratio)
  • There is no racial or ethnic predilection for this condition; it is observed worldwide

What are the Risk Factors for Lichen Sclerosus of Vulva? (Predisposing Factors)

Risk factors identified for Lichen Sclerosus of Vulva include:

  • Post-menopausal women have a higher risk; particularly those with low estrogen levels
  • Autoimmune disorders
  • Certain bacterial infections have also been suggested to increase the risk for lichen sclerosus

It is important to note that having a risk factor does not mean that one will get the condition. A risk factor increases ones chances of getting a condition compared to an individual without the risk factors. Some risk factors are more important than others.

Also, not having a risk factor does not mean that an individual will not get the condition. It is always important to discuss the effect of risk factors with your healthcare provider.

What are the Causes of Lichen Sclerosus of Vulva? (Etiology)

  • The exact cause of Lichen Sclerosus of Vulva is not well-established or understood
  • Some researchers believe that it is due to abnormalities in cell-mediated immunity
  • The condition is non-infectious; it does not spread through sexual transmission (or by direct physical contact) from one individual to another

What are the Signs and Symptoms of Lichen Sclerosus of Vulva?

The signs and symptoms of Lichen Sclerosus of Vulva include the following:

  • The presence of white spots on the vulva (external opening of the vagina) that are usually not ulcerated
  • Itching is the most common symptom associated with the lesions; sometimes, pain may be observed
  • With time, they grow bigger in size and may ulcerate and bleed
  • There may be relapse and remission of the signs and symptoms; they may appear, subside, and recur

How is Lichen Sclerosus of Vulva Diagnosed?

The diagnosis of Lichen Sclerosus of Vulva may involve the following procedures:

  • The diagnosis usually entails a good physical examination and comprehensive evaluation of one’s medical history
  • Examination of the skin by a dermatologist using a special magnified lens (dermoscopy)
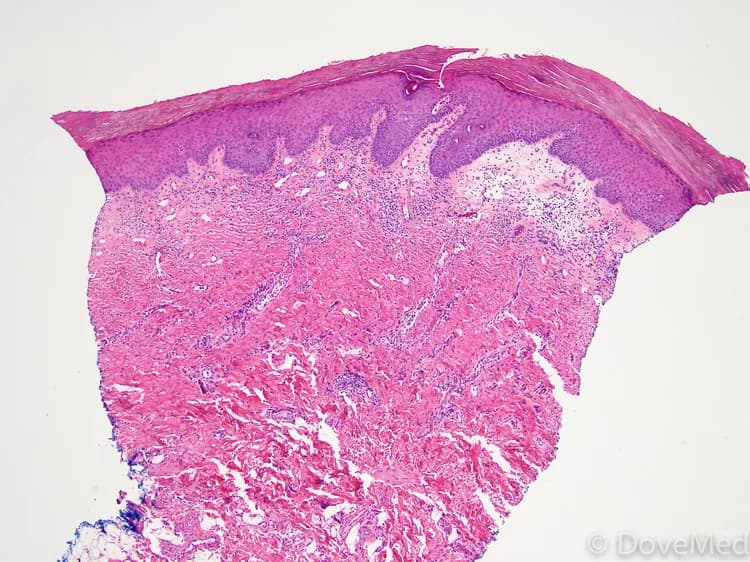
  • Skin biopsy: A skin biopsy is performed and sent to a laboratory for a pathological examination, who examines the biopsy under a microscope. After putting together clinical findings, special studies on tissues (if needed) and with microscope findings, the pathologist arrives at a definitive diagnosis
  • The condition is commonly mistaken for fungal infection of the vulva

Many clinical conditions may have similar signs and symptoms. Your healthcare provider may perform additional tests to rule out other clinical conditions to arrive at a definitive diagnosis.

What are the possible Complications of Lichen Sclerosus of Vulva?

The complications of Lichen Sclerosus of Vulva may include the following:

  • Intense scratching of the lesions can lead to secondary bacterial or fungal infections
  • Sexual intercourse may be very painful, if the lesions are present on the vaginal walls
  • The longstanding lesions can cause self-image issues, emotional stress, and psychological trauma in some individuals, leading to depression
  • Recurrence of the genital lesions after surgery (observed in some women)
  • There is a higher incidence of the lesions developing into invasive squamous cell carcinomas

How is Lichen Sclerosus of Vulva Treated?

In most individuals, lichen sclerosus is a self-limiting skin disorder that may not require any treatment. The condition subsides and goes away on its own. The symptoms may be mild and symptomatic treatment is usually not required.

In those with significant symptoms, there is no definitive cure for Lichen Sclerosus of Vulva. However, the treatment strategies that may be adopted include:

  • Application of topical steroidal creams and topical tacrolimus
  • Surgical excision may be undertaken, if the condition is symptomatic and is non-responsive to treatment using topical applications
  • The presence of chronic skin lesions may cause psychological discomfort; individuals may require reassurance to help with stress and anxiety
  • Follow-up care with regular screening and check-ups are important

Despite therapy, the skin lesions persist for a long period of time, resulting in a chronic skin disorder.

How can Lichen Sclerosus of Vulva be Prevented?

There is currently no effective means to prevent Lichen Sclerosus of Vulva, because the cause of this disorder is unknown. Nevertheless, the following measures may help mitigate risks and avoid the condition from becoming worse:

  • Maintaining good personal hygiene and care
  • Avoiding scratching of the ‘itchy’ lesions
  • Treating autoimmune disorders adequately

What is the Prognosis of Lichen Sclerosus of Vulva? (Outcomes/Resolutions)

  • The skin lesions in Lichen Sclerosus of Vulva are not life-threatening, but the prognosis depends upon the severity of the condition; severe disorders are difficult to treat and they may become chronic (lasting for a very long period of time)
  • In a majority of cases, the condition is asymptomatic or mild, which subsides on its own without the requirement for any treatment

Additional and Relevant Useful Information for Lichen Sclerosus of Vulva:

  • It has not been observed that dietary factors contribute to lichen sclerosus development
  • Cleaning the skin too hard with strong chemicals or soaps may aggravate the condition. Care must be taken avoid strong soaps and chemicals that could potentially worsen the condition
Was this article helpful

On the Article

Krish Tangella MD, MBA picture
Approved by

Krish Tangella MD, MBA

Pathology, Medical Editorial Board, DoveMed Team

0 Comments

Please log in to post a comment.

Related Articles

Test Your Knowledge

Asked by users

Related Centers

Loading

Related Specialties

Loading card

Related Physicians

Related Procedures

Related Resources

Join DoveHubs

and connect with fellow professionals

Related Directories

Who we are

At DoveMed, our utmost priority is your well-being. We are an online medical resource dedicated to providing you with accurate and up-to-date information on a wide range of medical topics. But we're more than just an information hub - we genuinely care about your health journey. That's why we offer a variety of products tailored for both healthcare consumers and professionals, because we believe in empowering everyone involved in the care process.
Our mission is to create a user-friendly healthcare technology portal that helps you make better decisions about your overall health and well-being. We understand that navigating the complexities of healthcare can be overwhelming, so we strive to be a reliable and compassionate companion on your path to wellness.
As an impartial and trusted online resource, we connect healthcare seekers, physicians, and hospitals in a marketplace that promotes a higher quality, easy-to-use healthcare experience. You can trust that our content is unbiased and impartial, as it is trusted by physicians, researchers, and university professors around the globe. Importantly, we are not influenced or owned by any pharmaceutical, medical, or media companies. At DoveMed, we are a group of passionate individuals who deeply care about improving health and wellness for people everywhere. Your well-being is at the heart of everything we do.

© 2023 DoveMed. All rights reserved. It is not the intention of DoveMed to provide specific medical advice. DoveMed urges its users to consult a qualified healthcare professional for diagnosis and answers to their personal medical questions. Always call 911 (or your local emergency number) if you have a medical emergency!