DoveMed.com

Lichen Sclerosus of Penis

Article
Men's Health
Skin Care
+1
Contributed byLester Fahrner, MD+1 moreAug 24, 2021

What are the other Names for this Condition? (Also known as/Synonyms)

  • Penile Lichen Sclerosus

What is Lichen Sclerosus of Penis? (Definition/Background Information)

  • Lichen sclerosus is a clinical condition of the skin, of unknown origin (in most cases) that commonly affects the genitalia. This chronic skin disorder is 10 times more common in females than males
  • In Lichen Sclerosus of Penis, there is the presence of white spots on the penis that usually do not ulcerate and bleed. These spots may cause itching (most common symptom) and sometimes, pain. It has been established that some cases even have the potential to develop into invasive squamous cell carcinomas
  • Penile Lichen Sclerosus may be diagnosed through medical history evaluations, complete physical exam, and confirmed through a skin biopsy
  • A majority of the cases are asymptomatic and mild, requiring no treatment. In such cases, the prognosis of Lichen Sclerosus of Penis is excellent. However, chronic and severe cases are difficult to treat

Who gets Lichen Sclerosus of Penis? (Age and Sex Distribution)

  • Lichen Sclerosus of Penis is a skin condition that can affect boys (as young as 10 years old) and men; it has a bimodal age distribution
  • In general, both males and females are affected by lichen sclerosus. However, the condition is seen at a much higher incidence in females (10:1 female to male ratio)
  • There is no racial or ethnic predilection for this condition; it is observed worldwide

What are the Risk Factors for Lichen Sclerosus of Penis? (Predisposing Factors)

Risk factors identified for Lichen Sclerosus of Penis include:

  • Phimosis, paraphimosis, and balanitis xerotica obliterans (BXO) - conditions affecting the penis
  • Autoimmune disorders
  • Certain bacterial infections have also been suggested to increase the risk for lichen sclerosus

It is important to note that having a risk factor does not mean that one will get the condition. A risk factor increases ones chances of getting a condition compared to an individual without the risk factors. Some risk factors are more important than others.

Also, not having a risk factor does not mean that an individual will not get the condition. It is always important to discuss the effect of risk factors with your healthcare provider.

What are the Causes of Lichen Sclerosus of Penis? (Etiology)

The exact cause of Lichen Sclerosus of Penis is not well-established or well-understood.

  • Some researchers believe that it is due to abnormalities in cell-mediated immunity
  • The condition is non-infectious; meaning, it does not spread through sexual transmission (or by direct physical contact) from one individual to another

What are the Signs and Symptoms of Lichen Sclerosus of Penis?

The signs and symptoms of Lichen Sclerosus of Penis include the following:

  • The presence of white spots on the penis that are usually not ulcerated
  • Itching is the most common symptom associated with the lesions; sometimes, pain may be observed
  • With time, they grow bigger in size and may ulcerate and bleed
  • There may be relapse and remission of the signs and symptoms; these may appear, subside, and recur

How is Lichen Sclerosus of Penis Diagnosed?

The diagnosis of Lichen Sclerosus of Penis may involve the following procedures:

  • The diagnosis usually entails a good physical examination and comprehensive evaluation of one’s medical history
  • Examination of the skin by a dermatologist using a special magnified lens (dermoscopy)
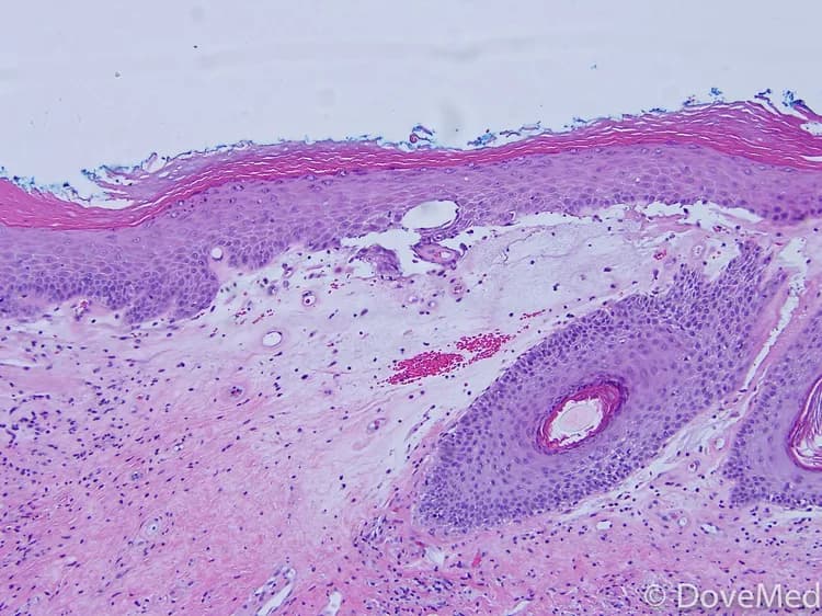
  • Skin biopsy: A skin biopsy is performed and sent to a laboratory for a pathological examination, who examines the biopsy under a microscope. After putting together clinical findings, special studies on tissues (if needed) and with microscope findings, the pathologist arrives at a definitive diagnosis
  • The condition is commonly mistaken for fungal infection of the penis

Many clinical conditions may have similar signs and symptoms. Your healthcare provider may perform additional tests to rule out other clinical conditions to arrive at a definitive diagnosis.

What are the possible Complications of Lichen Sclerosus of Penis?

The complications of Lichen Sclerosus of Penis may include the following:

  • If the lesions are present on the glans penis (head), it may lead to urethral obstruction leading to urination difficulties
  • Intense scratching of the lesions can lead to secondary bacterial or fungal infections
  • Sexual intercourse may be painful
  • The longstanding lesions can cause self-image issues, emotional stress, and psychological trauma in some individuals, leading to depression
  • There is a higher incidence of the lesions developing into invasive squamous cell carcinomas

How is Lichen Sclerosus of Penis Treated?

In most individuals, lichen sclerosus is a self-limiting skin disorder that may not require any treatment. The condition subsides and goes away on its own. The symptoms may be mild and symptomatic treatment is usually not required.

In those with significant symptoms, there is no definitive cure for Lichen Sclerosus of Penis. However, the treatment strategies that may be adopted include:

  • Application of topical steroidal creams and topical tacrolimus
  • Surgical excision may be undertaken, if the condition is symptomatic and is non-responsive to treatment using topical applications
  • Lesions over the prepuce (penis foreskin) may be surgically removed through a circumcision in some men
  • The presence of chronic skin lesions may cause psychological discomfort; individuals may require reassurance to help with stress and anxiety
  • Follow-up care with regular screening and check-ups are important

Despite therapy, the skin lesions persist for a long period of time, resulting in a chronic skin disorder.

How can Lichen Sclerosus of Penis be Prevented?

There is currently no effective means to prevent Lichen Sclerosus of Penis because the cause is unknown. Nevertheless, the following measures may help mitigate risks and avoid the condition from becoming worse:

  • Maintaining good personal hygiene and care
  • Avoiding scratching of the ‘itchy’ lesions
  • Treating autoimmune disorders adequately

What is the Prognosis of Lichen Sclerosus of Penis? (Outcomes/Resolutions)

  • The skin lesions in Lichen Sclerosus of Penis are not life-threatening, but the prognosis depends upon the severity of the condition; severe disorders are difficult to treat, and they may become chronic too (lasting for a very long period)
  • In a majority of cases, the condition is asymptomatic or mild, and subsides on its own without the requirement for any significant treatment

Additional and Relevant Useful Information for Lichen Sclerosus of Penis:

  • It has not been observed that dietary factors contribute to lichen sclerosus development
  • Cleaning the skin too hard with strong chemicals or soaps may aggravate the condition. Care must be taken avoid strong soaps and chemicals that could potentially worsen the condition
Was this article helpful

On the Article

Krish Tangella MD, MBA picture
Approved by

Krish Tangella MD, MBA

Pathology, Medical Editorial Board, DoveMed Team
Lester Fahrner, MD picture
Reviewed by

Lester Fahrner, MD

Chief Medical Officer, DoveMed Team

0 Comments

Please log in to post a comment.

Related Articles

Test Your Knowledge

Asked by users

Related Centers

Loading

Related Specialties

Loading card

Related Physicians

Related Procedures

Related Resources

Join DoveHubs

and connect with fellow professionals

Related Directories

Who we are

At DoveMed, our utmost priority is your well-being. We are an online medical resource dedicated to providing you with accurate and up-to-date information on a wide range of medical topics. But we're more than just an information hub - we genuinely care about your health journey. That's why we offer a variety of products tailored for both healthcare consumers and professionals, because we believe in empowering everyone involved in the care process.
Our mission is to create a user-friendly healthcare technology portal that helps you make better decisions about your overall health and well-being. We understand that navigating the complexities of healthcare can be overwhelming, so we strive to be a reliable and compassionate companion on your path to wellness.
As an impartial and trusted online resource, we connect healthcare seekers, physicians, and hospitals in a marketplace that promotes a higher quality, easy-to-use healthcare experience. You can trust that our content is unbiased and impartial, as it is trusted by physicians, researchers, and university professors around the globe. Importantly, we are not influenced or owned by any pharmaceutical, medical, or media companies. At DoveMed, we are a group of passionate individuals who deeply care about improving health and wellness for people everywhere. Your well-being is at the heart of everything we do.

© 2023 DoveMed. All rights reserved. It is not the intention of DoveMed to provide specific medical advice. DoveMed urges its users to consult a qualified healthcare professional for diagnosis and answers to their personal medical questions. Always call 911 (or your local emergency number) if you have a medical emergency!