DoveMed.com

Diffuse Cutaneous Neurofibroma

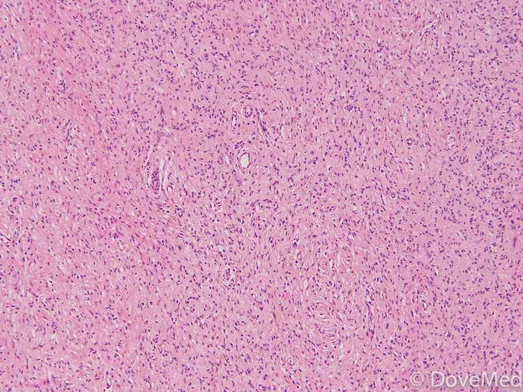
Articlediffusecutaneousneurofibroma
Brain & Nerve
Skin Care
+3
Contributed byLester Fahrner, MD+1 moreJun 10, 2022

What are the other Names for this Condition? (Also known as/Synonyms)

  • Diffuse Cutaneous type of Neurofibroma
  • Diffuse Neurofibroma of Skin
  • Neurofibroma of Skin, Diffuse type

What is Diffuse Cutaneous Neurofibroma? (Definition/Background Information)

  • A neurofibroma is a type of peripheral nerve sheath tumor (PNST). This tumor may arise from the nerves underneath the skin surface, or from nerves deep within the body
  • Diffuse Cutaneous Neurofibroma is a common form of neurofibroma that occurs on the skin. It is less common than the localized skin form and localized intraneural form of neurofibroma. The condition is generally associated with neurofibromatosis type 1 (NF-1) genetic disorder
  • Diffuse Cutaneous Type of Neurofibroma usually manifest in young men and women. They may not present any significant signs and symptoms in some cases. Most tumors occur in the head and neck region and may involve the facial/cranial nerves, causing associated signs and symptoms
  • Surgical treatment of the tumors may be undertaken if they present cosmetic concerns to the individual. In such cases, a simple surgical excision is sufficient treatment. The prognosis is excellent on removal of Diffuse Cutaneous Neurofibroma in many cases
  • Some tumors are known to be premalignant, which may adversely affect the prognosis, if suitable treatment is not undertaken. The prognosis may also depend upon the presence of the associated NF-1 disorder

Who gets Diffuse Cutaneous Neurofibroma? (Age and Sex Distribution)

  • Neurofibromas generally begin to appear during teenage and young adulthood (age range 15-20 years). They may be seen in individuals of any age group
  • Both males and females are affected by Diffuse Cutaneous Neurofibroma and no preference for any gender is seen
  • This condition is observed worldwide; there is no ethnic or racial predisposition

What are the Risk Factors for Diffuse Cutaneous Neurofibroma? (Predisposing Factors)

No definitive risk factors for solitary Diffuse Cutaneous Neurofibroma have been currently identified.

  • However, if more than one tumor is present, then an association with neurofibromatosis type 1 (NF-1) is observed. NF-1 is a genetic condition that is characterized by skin pigmentation, cutaneous neurofibromas, and the formation of non-cancerous tumors that affect the central nervous system
  • Diffuse Cutaneous Neurofibromas are usually present (but are not unique to) in individuals with NF-1 disorder

It is important to note that having a risk factor does not mean that one will get the condition. A risk factor increases one’s chances of getting a condition compared to an individual without the risk factors. Some risk factors are more important than others.

Also, not having a risk factor does not mean that an individual will not get the condition. It is always important to discuss the effect of risk factors with your healthcare provider.

What are the Causes of Diffuse Cutaneous Neurofibroma? (Etiology)

The cause of Diffuse Cutaneous Neurofibroma is due to genetic mutations.

  • Currently, studies indicate defects in the following gene: NF1 gene
  • Additionally, the following chromosomal aberration is noted:
    • Mutations in chromosome 17 due to loss of 17q (long arm); this is observed frequently
    • Mutations in chromosome 19 due to loss of 19p and 19q (on short arm and long arm respectively)
    • Mutations in chromosome 22 due to loss of 22q (long arm)

The above genetic abnormalities can be detected using molecular studies, which may play a significant role in identifying the tumor type, and in some cases, helping the healthcare provider take appropriate treatment decisions.

Note: The presence of multiple neurofibromas may indicate neurofibromatosis type 1, which is an autosomal dominant genetic disorder.

What are the Signs and Symptoms of Diffuse Cutaneous Neurofibroma?

In some cases, significant signs and symptoms of Diffuse Cutaneous Neurofibroma may not be observed. However, the following may be noted, in some cases:

  • In many cases, the tumors are single that occur sporadically and not as part of a syndrome (non-syndromic tumors)
  • In individuals with neurofibromatosis type 1, multiple tumors are seen. In such cases, the associated signs and symptoms of NF-1 can be observed
  • In many cases, the tumors are solid, firm, and mobile (when felt by touch)
  • Diffuse Cutaneous Neurofibroma is not well-circumscribed; infiltration into the surrounding soft tissue may be noted
  • Some neurofibromas can be painful
  • The most common site of the tumor is the skin (hence, cutaneous neurofibroma) - which usually involves the small nerves
  • The most frequent location for the tumor is the head and neck region, where the facial and cranial nerves may be involved
  • Cutaneous neurofibromas may range in size from 2 mm to 2 cm (average size 0.5 cm). The skin surface around the tumors may be pale tan
  • Diffuse Cutaneous Neurofibromas appear as plaque-like thickening of skin. The skin over such tumors may show increased pigmentation

How is Diffuse Cutaneous Neurofibroma Diagnosed?

A diagnosis of Diffuse Cutaneous Neurofibroma may involve the following procedures and tests:

  • Complete physical examination with evaluation of medical history
  • Dermoscopy: It is a diagnostic tool where a dermatologist examines the skin using a special magnified lens
  • Wood’s lamp examination: In this procedure, the healthcare provider examines the skin using ultraviolet light. It is performed to examine the change in skin pigmentation
  • Imaging studies, such as CT/MRI scans, of the affected region
  • Tissue biopsy: A tissue biopsy is performed and sent to a laboratory for a pathological examination. The pathologist examines the biopsy under a microscope. After putting together clinical findings, special studies on tissues (if needed) and with microscope findings, the pathologist arrives at a definitive diagnosis

A differential diagnosis may be undertaken to eliminate the following tumor types prior to a definitive diagnosis:

  • Dermatofibrosarcoma protuberans
  • Malignant peripheral nerve sheath tumor
  • Neurotized nevus
  • Schwannoma
  • Spindle cell lipoma
  • Superficial angiomyxoma
  • Traumatic neuroma

Note: If there are multiple neurofibroma tumors, then it is an important diagnostic indicator for the presence of neurofibromatosis type 1 (NF1) disorder.

Many clinical conditions may have similar signs and symptoms. Your healthcare provider may perform additional tests to rule out other clinical conditions to arrive at a definitive diagnosis.

What are the possible Complications of Diffuse Cutaneous Neurofibroma?

The following complications from Diffuse Cutaneous Neurofibroma may be observed:

  • These tumors may present cosmetic concerns, in which case surgery may be proposed
  • Often these tumors penetrate into the subcutaneous fat under the skin (which impedes surgical excision). This may prevent a complete removal of the tumor and result in tumor recurrence following surgery
  • Rarely, malignant transformation of the tumor is observed
  • Complications may arise due to NF1 (if present)

How is Diffuse Cutaneous Neurofibroma Treated?

In some cases, Diffuse Cutaneous Neurofibromas may be asymptomatic and no treatment may be required; or, they may be treated for cosmetic issues. The treatment measures adopted may include:

  • The healthcare provider may choose to regularly monitor the tumor, if they are asymptomatic
  • Surgical excision and tumor removal: A complete removal of Diffuse Neurofibroma of Skin may be difficult, because the tumor is known to penetrate deep into the subcutaneous tissues
  • Treatment of underlying neurofibromatosis type 1 (if present) may be necessary
  • Follow-up care with regular screening and check-ups are important

How can Diffuse Cutaneous Neurofibroma be Prevented?

Current medical research has not established a definitive method to prevent the formation of sporadic Diffuse Cutaneous Neurofibroma. However, if the tumors are present against a background of other signs of neurofibromatosis type 1, then the following may be considered:

  • Genetic testing of the expecting parents (and related family members) and prenatal diagnosis (molecular testing of the fetus during pregnancy) may help in understanding the risks better during pregnancy
  • If there is a family history of the condition, then genetic counseling will help assess risks, before planning for a child
  • Active research is currently being performed to explore the possibilities for treatment and prevention of inherited and acquired genetic disorders

What is the Prognosis of Diffuse Cutaneous Neurofibroma? (Outcomes/Resolutions)

  • In general, the prognosis of Diffuse Cutaneous Neurofibroma is excellent on its complete excision and removal, in many cases. Since many are benign tumors, the prognosis is excellent, even if only periodic observation is maintained
  • Generally, Diffuse Cutaneous Neurofibromas do not become malignant; only rare cases of malignant transformation have been reported
  • The prognosis of the neurofibroma associated with NF1, depends upon the severity of the signs and symptoms of the genetic disorder

Additional and Relevant Useful Information for Diffuse Cutaneous Neurofibroma:

There is no definitive proof that certain types of diet may influence the development of neurofibromas.

Was this article helpful

On the Article

Krish Tangella MD, MBA picture
Approved by

Krish Tangella MD, MBA

Pathology, Medical Editorial Board, DoveMed Team
Lester Fahrner, MD picture
Reviewed by

Lester Fahrner, MD

Chief Medical Officer, DoveMed Team

0 Comments

Please log in to post a comment.

Related Articles

Test Your Knowledge

Asked by users

Related Centers

Loading

Related Specialties

Loading card

Related Physicians

Related Procedures

Related Resources

Join DoveHubs

and connect with fellow professionals

Related Directories

Who we are

At DoveMed, our utmost priority is your well-being. We are an online medical resource dedicated to providing you with accurate and up-to-date information on a wide range of medical topics. But we're more than just an information hub - we genuinely care about your health journey. That's why we offer a variety of products tailored for both healthcare consumers and professionals, because we believe in empowering everyone involved in the care process.
Our mission is to create a user-friendly healthcare technology portal that helps you make better decisions about your overall health and well-being. We understand that navigating the complexities of healthcare can be overwhelming, so we strive to be a reliable and compassionate companion on your path to wellness.
As an impartial and trusted online resource, we connect healthcare seekers, physicians, and hospitals in a marketplace that promotes a higher quality, easy-to-use healthcare experience. You can trust that our content is unbiased and impartial, as it is trusted by physicians, researchers, and university professors around the globe. Importantly, we are not influenced or owned by any pharmaceutical, medical, or media companies. At DoveMed, we are a group of passionate individuals who deeply care about improving health and wellness for people everywhere. Your well-being is at the heart of everything we do.

© 2023 DoveMed. All rights reserved. It is not the intention of DoveMed to provide specific medical advice. DoveMed urges its users to consult a qualified healthcare professional for diagnosis and answers to their personal medical questions. Always call 911 (or your local emergency number) if you have a medical emergency!