DoveMed.com

Carcinoid Tumor of Lung

Article
Healthy Lungs
Diseases & Conditions
+1
Contributed byMaulik P. Purohit MD MPHAug 12, 2018

What are the other Names for this Condition? (Also known as/Synonyms)

  • Carcinoid Tumour of Lung
  • Pulmonary Carcinoid Tumor
  • Pulmonary Carcinoid Tumour

What is Carcinoid Tumor of Lung? (Definition/Background Information)

  • Lung cancer is a high mortality cancer that affects the lungs. Any individual can develop lung cancer, although individuals who smoke cigarettes remain at the highest risk for the condition. It is the most common cause of cancer-related death in the world
  • Neuroendocrine lung cancers are classified as a separate entity that form a family of 4 major tumor categories comprising of the following:
    • Small cell carcinoma; a high-grade tumor
    • Large cell neuroendocrine carcinoma (LCNEC); a high-grade tumor
    • Typical carcinoid tumor; a low-grade malignant tumor
    • Atypical carcinoid tumor; an intermediate-grade malignant tumor
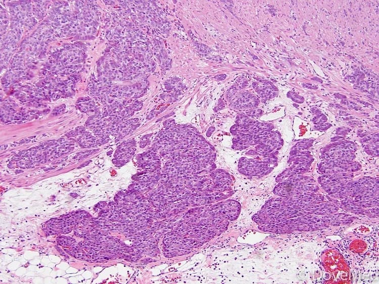
  • Carcinoid Tumors of Lung are uncommon neuroendocrine tumors that constitute 2 main types - typical carcinoid and atypical carcinoid tumors. The tumors are identified on histological examination of a tumor sample by a pathologist under a microscope
  • Around 70-90% of the carcinoid tumors are typical (low-grade) carcinoid tumors, while around 10-30% of them are atypical (intermediate-grade) carcinoid tumors
  • The cause of development of this cancer type is unknown, but certain abnormal genetic mutations have been recorded. Smoking and multiple endocrine neoplasia type 1 (a genetic disorder) are risk factors in some individuals
  • Carcinoid Tumor of Lung arises more often in the proximal airways of the lung and can cause chest pain, breathing difficulties, fatigue, and other general signs and symptoms, such as fever, weight loss, and appetite loss
  • Chemotherapy, surgery, radiation therapy, and other treatment measures may be used for treating Carcinoid Tumor of Lung based on the assessment of the physician
  • The prognosis depends on many factors including the subtype and stage of cancer, progression of the condition, response to treatment, and overall health of the individual

Who gets Carcinoid Tumor of Lung? (Age and Sex Distribution)

  • Carcinoid Tumor of Lung comprises less than 1% of all lung cancer cases worldwide. The incidence of the condition ranges from 1 in a million, to 15 cases per million population
  • The majority of the cases are detected and diagnosed in adults less than the age of 60 years
  • In general, a male preference is noted for lung cancers. However with Carcinoid Tumors of Lung, a slight female predominance is noted
  • Current studies do not show any racial or ethnic predilection, although the general incidence of the cancer is more among Caucasians

What are the Risk Factors for Carcinoid Tumor of Lung? (Predisposing Factors)

The following factors have been identified as increasing the risk for Carcinoid Tumor of Lung:

  • Smoking: Smoking cigarettes, cigars, or pipes, increase the risk due to damaging chemicals being inhaled into the lungs. Prolonged smoking damages the lung, resulting in reduced clearance of the chemical carcinogens that accumulate in the lungs. Around 40% Carcinoid Tumor of Lung cases have been associated with smoking
  • Family history of the condition
  • Presence of multiple endocrine neoplasia 1 (MEN 1) has been observed in 8% of the cases. Also, 40% of the sporadic cases have shown mutations on gene MEN1
  • Presence of the preinvasive lesion diffuse idiopathic pulmonary neuroendocrine hyperplasia (DIPNECH)

In general, physicians believe that certain factors may increase an individual’s risk for lung cancers and these include:

  • Advancing age: The risk increases with age and most cases occur in individuals over the age of 65 years
  • Air pollution: Exposure to polluted air may increase any individual’s risk. This is true, especially in the case of smokers, who are exposed to air pollution, than non-smokers
  • Exposure to arsenic and other hazardous substances
  • Exposure to asbestos and other harmful chemicals and heavy metals: Prolonged exposure to asbestos and other harmful chemicals including chromium, nickel, and tar
  • Exposure to secondhand smoke: Individuals, who do not smoke, but live with smokers, also have an increased risk
  • Radon causing indoor air pollution: Radon, a colorless, odorless, and tasteless radioactive gas is produced by the natural breakdown of uranium in soil and rocks. In certain geographical regions, hazardous levels of radon gas can develop inside building or households. Individuals exposed to excessive amounts of radon gas are vulnerable to lung cancer
  • Family history: Individuals with one or more immediate family members or relatives with a history of lung cancer
  • Personal history: Individuals who have previously had lung cancer have an increased risk of its recurrence
  • Certain longstanding lung diseases: Lung diseases, such as lung fibrosis, tuberculosis, chronic obstructive pulmonary disease (COPD), asthma, and bronchitis, over a prolonged period of time, may increase an individual’s risk
  • Radiation therapy to the chest: Individuals who had radiation therapy to the chest for another cancer are increasingly prone to lung cancer
  • Working in mines
  • The presence of alpha 1 antitrypsin deficiency disorder

It is important to note that having a risk factor does not mean that one will get the condition. A risk factor increases ones chances of getting a condition compared to an individual without the risk factors. Some risk factors are more important than others.

Also, not having a risk factor does not mean that an individual will not get the condition. It is always important to discuss the effect of risk factors with your healthcare provider.

What are the Causes of Carcinoid Tumor of Lung? (Etiology)

The exact cause of Carcinoid Tumor of Lung is unknown, but it may develop from preinvasive lesions such as diffuse idiopathic pulmonary neuroendocrine hyperplasia (DIPNECH).

  • Research studies indicate that Carcinoid Lung Tumors are not precursors to small cell lung carcinoma or large cell neuroendocrine carcinoma of lung. These tumors are considered to be stand-alone tumors with neuroendocrine differentiation
  • Atypical carcinoid lung tumors are known to be associated with tobacco smoking, while typical carcinoid tumors are not seen in smokers
  • Nearly 75% of the carcinoid tumors show driver gene mutations; although, mutations on the RB1 and TP53 genes are uncommon (that are seen in small cell and large cell neuroendocrine carcinomas)
  • MEN1 gene mutations have been identified in some of these tumors, even when multiple endocrine neoplasia (MEN) disorder is not present in the individual
  • It is believed that there may also be certain other factors contributing to the condition, which include exposure to radon, and prolonged exposure to asbestos and other harmful chemicals (arsenic, chromium, nickel, and tar)
  • In general, it is known that cancers form when normal, healthy cells begin transforming into abnormal cells - these cancer cells grow and divide uncontrollably (and lose their ability to die), resulting in the formation of a mass or a tumor
  • The transformation of normally healthy cells into cancerous cells may be the result of genetic mutations. Mutations allow the cancer cells to grow and multiply uncontrollably to form new cancer cells
  • These tumors can invade nearby tissues and adjoining body organs, and even metastasize and spread to other regions of the body

What are the Signs and Symptoms of Carcinoid Tumor of Lung?

The features of Carcinoid Tumor of Lung may include:

  • A majority of the tumors originate from the central airways (proximal lung region); in about 35-40% of the cases, the tumors are seen in the peripheral lung regions
  • However, tumors may be present anywhere in the lung. Carcinoid tumors in the trachea are rare, but not unusual. They may also be seen in the smaller airways (bronchioles)
  • When tumors are observed in the periphery, they may be asymptomatic and discovered only incidentally
  • The centrally located tumors are more spherical in shape, and well-circumscribed. These tumors may be pedunculated (hanging like a pendant from the surface) or sessile
  • The size of the tumor ranges from 0.5-9 cm. However, obstruction of the airways is not very commonly noted
  • If Carcinoid Tumors of Lung are observed against a background of DIPNECH, in rare cases, then the presence of multiple lung tumors may indicate the presence of parallel/synchronous primary tumors and not metastatic disease
  • Similar to neuroendocrine carcinomas, the carcinoid tumors may express adrenocorticotropic hormone (ADCH), and gastrin-releasing peptides including calcitonin

Early-stage lung cancer rarely causes any signs and symptoms and initially makes for a difficult diagnosis. Besides, several of the primary symptoms may result from non-malignant disorders too. The overlapping signs and symptoms may result in a delayed diagnosis of lung cancer in some cases.

The common signs and symptoms may include the following:

  • Shortness of breath that gets worse with time; difficulty in breathing
  • Cough that may be persistent; blood in cough/sputum (hemoptysis)
  • Chest pain, heaviness in the chest
  • Changes to voice, hoarseness, or loss of voice

Signs and symptoms associated with Carcinoid Tumor of Lung, which may emerge during the later stages of the condition, include:

  • High temperatures (fever) and excessive night sweats (may be recurrent)
  • Sudden weight loss; unintentional weight loss; changes in appetite
  • The individual is easily tired, resulting in fatigue even with minimal activity
  • Headache
  • Low blood pressure

Syndromic conditions due to tumor peptide production are not very frequently seen; but, Carcinoid Tumor of Lung can result in carcinoid syndrome, Cushing syndrome, and acromegaly.

How is Carcinoid Tumor of Lung Diagnosed?

The following procedures and tools may be used in the diagnosis of Carcinoid Tumor of Lung:

  • Physical examination: During a physical exam, a physician will check the individual’s overall health status, listen to their breathing, and check for possible fluid buildup in the lungs (auscultation)
  • Pulmonary function tests can help determine the extent of lung damage; it can also help the healthcare provider assess the ability of lungs to deliver oxygen to the body
  • Chest X-ray: Two-dimensional pictures using tiny amounts of radiation are taken, in order to detect any tumors or other medical issues associated with the lungs, such as pneumonia. Tumors inside the lung can be detected using a chest X-ray; although sometimes, these tumors are too small to visualize (tumors less than 1 cm in size may be missed on a chest X-ray)
  • Computerized tomography (CT) scan: Also known as CAT scan, this radiological procedure creates detailed three-dimensional images of structures inside the body. CT scans may be helpful in detecting recurrences, or if the cancer has metastasized to the surrounding lymph nodes of the lungs
  • Magnetic resonance imaging (MRI) scan: An MRI scan uses magnetic fields that create high quality pictures of certain body parts, such as tissues, muscles, nerves, and bones. These high-quality images may indicate to a physician, if any tumor is present
  • Positron emission tomography (PET): A PET scan is a nuclear medicine imaging technique that uses three-dimensional images to show how tissue and organs are functioning. A small amount of radioactive material may be injected into a vein, inhaled or swallowed. A PET scan is also helpful in detecting recurrences, or if any metastasis (to the surrounding lymph nodes of the lungs) has occurred
  • Sputum cytology: Sputum cytology is test that involves the collection of mucus (sputum), coughed-up by a patient. After the mucus is collected, a pathologist examines it in an anatomic pathology laboratory, to see if any cell abnormalities are present indicative of Pulmonary Carcinoid Tumor
  • Bone scan: A bone scan is a nuclear imaging test that involves injecting a radioactive tracer into an individual’s vein. Bone scans are primarily used to detect if the cancerous cells have metastasized to the bones and formed secondary tumors
  • Bone marrow biopsy: Bone marrow is a soft tissue found within bones. Occasionally, with Carcinoid Tumor of Lung, a bone marrow biopsy is used to detect blood abnormalities, or if a physician believes that metastasis to the bone marrow may have occurred

A biopsy refers to a medical procedure that involves the removal of cells or tissues, which are then examined by a pathologist. Different biopsy procedures include:

  • Tissue biopsy from the affected lung:
    • A biopsy of the tumor is performed and sent to a laboratory for a pathological examination. A pathologist examines the biopsy under a microscope. After putting together clinical findings, special studies on tissues (if needed) and with microscope findings, the pathologist arrives at a definitive diagnosis. Examination of the biopsy under a microscope by a pathologist is considered to be gold standard in arriving at a conclusive diagnosis
    • Biopsy specimens are studied initially using Hematoxylin and Eosin staining. The pathologist then decides on additional studies depending on the clinical situation
    • Sometimes, the pathologist may perform special studies, which may include immunohistochemical stains, molecular testing, flow cytometric analysis and very rarely, electron microscopic studies, to assist in the diagnosis
  • The biopsy may be performed through any of the following procedures:
    • Bronchoscopy: A special medical instrument, called a bronchoscope, is inserted through the nose and into the lungs to collect small tissue samples
    • Thoracentesis: During thoracentesis, physicians use a special medical device called a cannula, to remove fluid between the lungs and the chest wall for examination
    • Thoracoscopy: A medical instrument called a thoracoscope is inserted into the chest through tiny incisions, in order to examine and remove tissue from the chest wall, which is then analyzed further
    • Thoracotomy: Thoracotomy is a surgical invasive procedure with special medical instruments to open-up the chest and remove tissue from the chest wall or the surrounding lymph nodes of the lungs
    • Mediastinoscopy: A medical instrument called a mediastinoscope is inserted into the chest wall to examine and remove samples
    • Fine needle aspiration biopsy (FNAB) or transthoracic needle biopsy: A device called a cannula is used to extract tissue or fluid from the lungs, or surrounding lymph nodes
    • Open lung biopsy

A differential diagnosis with respect to other lung cancer types may be necessary prior to establishing a definite diagnosis, by excluding the following tumors:

  • Small cell lung carcinoma
  • Salivary gland type tumors (mucoepidermoids)
  • Secondary lung tumors that have metastasized from other regions to the lung (particularly from the GI tract)
  • Breast cancer metastasis to the lungs
  • Paraganglioma and glomangioma

Note: An accurate diagnostic evaluation is crucial for staging and treatment purposes.

Many clinical conditions may have similar signs and symptoms. Your healthcare provider may perform additional tests to rule out other clinical conditions to arrive at a definitive diagnosis.

What are the possible Complications of Carcinoid Tumor of Lung?

The complications of Carcinoid Tumor of Lung can include:

  • Dyspnea (shortness of breath): If the cancerous tumor expands to block important, large, or small airways of the chest or lung
  • Hemoptysis (coughing-up blood): Individuals may cough-up blood, due to excessive amounts of blood in the airways
  • Pain: Advanced stages that has metastasized to the pleural cavity (lining surrounding the lungs), invaded the chest wall, or other areas of the body may cause excessive pain
  • Pleural effusion (fluid in the chest): Excessive fluid accumulation, resulting from cancerous cells spreading inside the lungs, or outside of the lungs
  • Irreversible lung damage such as due to lung fibrosis
  • Development of pneumothorax (collapsed lung)
  • Recurrence following surgical removal of the tumor
  • Centrally located tumors may result in pneumonia, abscess formation, and bronchiectasis
  • There is a higher risk for other associated cancers (such as breast cancer and prostate cancer) in those with Pulmonary Carcinoid Tumor, usually after a period of 5 years. The relative risk, as per estimate, is about 1.7 times for breast cancer and 2.8 times for prostate cancer

Involvement of local and distant organs in Small Cell Lung Carcinoma:

  • Metastasis may occur to any part of the body and most cases are diagnosed during advanced stages. This is more common in atypical carcinoid tumors than typical carcinoid tumors
  • The spread of cancer may occur through the blood vessels or lymphatic system (similar to non-small cell lung carcinomas)
  • Some of the sites/organs involved include the mediastinal lymph nodes and other lung regions
  • Loss of function of the organ/area to which cancer has spread due to systemic involvement

There may be complications related to the methods used in treating the condition and may include:

  • Side effects of radiation therapy that may include sunburn-like rashes, where radiation was targeted, red or dry skin, heaviness of the breasts, and general fatigue
  • Side effects of chemotherapy, which may include nausea, vomiting, hair loss, decreased appetite, mouth sores, fatigue, low blood cell counts, and a higher chance of developing infections
  • The treatment can also cause infertility in men and women. Hence, measures to protect the individual’s fertility must be considered, before starting chemotherapy

How is Carcinoid Tumor of Lung Treated?

Treatment options available for individuals with Carcinoid Tumor of Lung are dependent upon the following:

  • Type of cancer
  • Location of the cancer
  • The staging of the cancer: If lung cancer is diagnosed, staging helps determine whether it has spread and which treatment options are best-suited for the individual
  • Personal preferences
  • Overall health status of the individual
  • Type of gene mutation involved: This factor can determine the treatment possibilities or relative treatment resistance

The most commonly used treatment is surgery. Surgery can be potentially curative, if the tumor is completely excised (in case of lower stage tumors). However, some cases show recurrence many years later. Chemotherapy and radiation may also be used for treatment, if surgery is not a viable option, or if there is a suspicion of metastasis.

Surgery: Depending on the stage of Carcinoid Tumor of Lung, surgery might be a viable option. The surgical options include:

  • Wedge resection: Wedge resection is a partial removal of the wedge-shape portion of the lung that contains cancerous cells (along with any surrounding healthy tissue)
  • Segmentectomy: It is the partial removal of the cancerous lung and any surrounding healthy tissue
  • Pulmonary lobectomy: It is a type of surgical procedure performed to partially remove a portion of a lung
  • Sleeve lobectomy: It is another surgical procedure to partially remove a portion of the lung and a part of the airway (bronchus)
  • Pneumonectomy: It is the surgical removal of the entire lung

Chemotherapy:

  • Chemotherapy drugs are typically taken as pills, or injected directly into a vein. These drugs travel through the body to kill any cancer cells
  • But, they can also kill healthy cells, located within the gastrointestinal tract and in hair follicles. The side effects include vomiting, nausea, and hair loss

Radiation therapy:

  • Radiation therapy involves using x-rays to kill cancerous cells. High-powered radiation beams are directed to particular body regions to target cancer. In the process, healthy cells can also be damaged
  • Radiation therapy can be administered in the following ways:
    • Either by a machine, placed outside the body (called external beam radiation)
    • Or it may be administered internally, by a device positioned directly at, or close to the malignant tumor, inside the lungs (called brachytherapy)

Radiation therapy and chemotherapy can be used as a combination therapy. Combinational therapy increases the effects of both types of treatment. However, the side effects are cumulative.

Targeted drug therapy: Targeted drug therapy is a relatively new medical treatment used to target abnormal cancer cells and reduce the chance of cancer spreading to other parts of the body.

How can Carcinoid Tumor of Lung be Prevented?

Currently, there is no known prevention method for Carcinoid Tumor of Lung. Although there are no preventable measures for lung cancer, in general, various steps can be taken to help decrease the risk of its formation. These measures include:

  • Complete smoking cessation and avoiding exposure to secondhand smoke: The risk for lung cancer decreases drastically following quitting or giving up smoking
  • Physical activity: Individuals, who participate in a moderate amount of physical activity, may decrease their risk
  • Adequate consumption of fruits and vegetables: A healthy diet, low in saturated fats and rich in many fruits and vegetables, may help decrease one’s risk for lung cancer
  • Avoid exposure to certain materials and chemicals (including asbestos, arsenic, chromium, nickel, and tar): Individuals who work with such substances should follow proper usage principles and occupational safety instructions, since a prolonged exposure to harmful chemicals may increase the risk for lung cancer. This risk is multiplied in smokers who are exposed to these harmful chemicals
  • Avoid exposure to radioactive gas: Radon, a radioactive gas, produced by the natural breakdown of uranium in soil and rocks, may develop to hazardous levels inside building spaces. Individuals exposed to excessive amounts of radon gas are vulnerable to lung cancer
  • Limit alcohol consumption: Alcoholic beverages have been linked to increasing an individual’s risk for certain types of cancers, such as those affecting the lungs, mouth, throat, esophagus, breast, colon, and liver
  • CT screening in high-risk groups can decrease the incidence of lung cancer, or at least help detect such cancers early. It is generally known that CT scans are about 3-4 times better than X-ray studies

What is the Prognosis of Carcinoid Tumor of Lung? (Outcomes/Resolutions)

  • Carcinoid Tumor of Lung can be an aggressive malignancy. The prognosis of the condition generally depends upon whether the tumor is classified as typical or atypical. Typical carcinoid tumors have better prognosis than atypical carcinoid tumors
  • The overall 5 year survival rate for typical and atypical tumors is 90% and 60% respectively. Generally, small resectable tumors have a better overall prognostic value
  • Factors that adversely affect the prognosis include higher age of the individual, smoking history, and involvement of the lymph nodes
  • The prognosis of lung cancer, in general, depends upon a set of several factors that include:
    • The grade of the lung tumor such as grade1, grade2, and grade 3. Grade1 indicates a well-differentiated tumor, grade 2 a moderately-differentiated tumor, whereas grade 3 indicates a poorly-differentiated tumor. Grade 3 tumors are higher prone to metastasis to the lymph nodes and recurrences
    • Stage of lung cancer: With lower-stage tumors, when the tumor is confined to site of origin, the prognosis is usually excellent with appropriate therapy. In higher-stage tumors, such as tumors with metastasis, the prognosis is poor
    • Histological subtype of the tumor: Some subtypes have better prognosis than others
    • The size of the lung tumor: Individuals with small-sized tumors fare better than those with large-sized tumors
    • Overall health of the individual: Individuals with overall excellent health have better prognosis compared with those with poor health
    • Age of the individual: Older individuals generally have poorer prognosis than younger individuals
    • Individuals with bulky disease of the lung cancer have a poorer prognosis
    • Involvement of the lymph node, which can adversely affect the prognosis
    • Involvement of vital organs may complicate the condition
    • The surgical respectability of the tumor (meaning, if the tumor can be removed completely)
    • Whether the tumor is occurring for the first time, or is a recurrent tumor. Recurring tumors have worse prognosis compared to tumors that do not recur
    • Response to treatment of lung cancer: Tumors that respond to treatment have better prognosis compared to tumors that do not respond to treatment
    • Progression of the condition makes the outcome worse
  • An early diagnosis and prompt treatment of the tumor generally yields better outcomes than a late diagnosis and delayed treatment
  • The combination chemotherapy drugs used, may have some severe side effects (like cardio-toxicity). This chiefly impacts the elderly adults, or those who are already affected by other medical conditions. Tolerance to the chemotherapy sessions is a positive influencing factor

It is important to have follow-up appointments with a physician, to evaluate the effects of the current treatment method, and to monitor for any returning tumors.

Additional and Relevant Useful Information for Carcinoid Tumor of Lung:

  • Lung cancer incidence is around 35 cases per 100,000 populations: The incidence of lung cancer in non-smokers is 1-2 cases per 20,000 populations per year; its incidence in smokers is 20-30 times higher than that of non-smokers
  • Smoking is highly-associated with squamous cell carcinomas and small cell carcinomas; nevertheless, for all lung cancer forms, smoking is the single most important risk factor
  • It is reported that cigarette smoking is low in Africa and certain parts of Central and South America
  • Historically, men have been affected over women by lung cancer; however, the lung cancer male-female incidence gap is steadily reducing (especially in high-income countries)
Was this article helpful

On the Article

Maulik P. Purohit MD MPH picture
Approved by

Maulik P. Purohit MD MPH

Assistant Medical Director, Medical Editorial Board, DoveMed Team

0 Comments

Please log in to post a comment.

Related Articles

Test Your Knowledge

Asked by users

Related Centers

Loading

Related Specialties

Loading card

Related Physicians

Related Procedures

Related Resources

Join DoveHubs

and connect with fellow professionals

Related Directories

Who we are

At DoveMed, our utmost priority is your well-being. We are an online medical resource dedicated to providing you with accurate and up-to-date information on a wide range of medical topics. But we're more than just an information hub - we genuinely care about your health journey. That's why we offer a variety of products tailored for both healthcare consumers and professionals, because we believe in empowering everyone involved in the care process.
Our mission is to create a user-friendly healthcare technology portal that helps you make better decisions about your overall health and well-being. We understand that navigating the complexities of healthcare can be overwhelming, so we strive to be a reliable and compassionate companion on your path to wellness.
As an impartial and trusted online resource, we connect healthcare seekers, physicians, and hospitals in a marketplace that promotes a higher quality, easy-to-use healthcare experience. You can trust that our content is unbiased and impartial, as it is trusted by physicians, researchers, and university professors around the globe. Importantly, we are not influenced or owned by any pharmaceutical, medical, or media companies. At DoveMed, we are a group of passionate individuals who deeply care about improving health and wellness for people everywhere. Your well-being is at the heart of everything we do.

© 2023 DoveMed. All rights reserved. It is not the intention of DoveMed to provide specific medical advice. DoveMed urges its users to consult a qualified healthcare professional for diagnosis and answers to their personal medical questions. Always call 911 (or your local emergency number) if you have a medical emergency!