DoveMed.com

Burkitt Lymphoma of Small Intestine

Article
Digestive Health
Diseases & Conditions
+3
Contributed byKrish Tangella MD, MBAAug 09, 2018

What are the other names of this Condition? (Also known as/Synonyms)

  • Burkitt's Lymphoma of Small Intestine
  • Burkitt's Tumor of Small Intestine
  • Malignant Lymphoma of Small Intestine, Burkitt's Type

What is Burkitt Lymphoma of Small Intestine? (Definition/Background Information)

  • Burkitt lymphoma (BL) is a very aggressive and fast-growing form of non-Hodgkin lymphoma. The lymphoma affects the B-cells of the immune system
  • Burkitt Lymphoma of Small Intestine can affect any portion of the small bowel, but typically involves the ileum. It is a rare type of gastrointestinal lymphoma that is seen in children and adolescents. However, it is the most common cancer type involving the small intestine in children
  • Burkitt’s lymphoma affecting the small intestine may be of the following types:
    • Endemic Burkitt Lymphoma of Small Intestine: This type of lymphoma is common wherever Burkitt lymphoma is endemic in Africa. It is generally associated with Epstein-Barr virus (EBV)
    • Sporadic Burkitt Lymphoma of Small Intestine: This type is similar to the endemic form of Burkitt lymphoma, but occurs in other parts of the world (outside Africa). It is more infrequent and is generally not associated with EBV infection
  • No specific risk factors for this lymphoma type have been identified. But, Small Bowel Burkitt Lymphoma can occur in a background of HIV infection. The specific cause of the condition is currently unknown. Nevertheless, certain genetic defects have been implicated, particularly in the c-MYC gene
  • Burkitt Lymphoma of Small Intestine may cause abdominal pain, diarrhea, and gastrointestinal tract bleeding. There may be general symptoms such as fatigue, weight loss, and frequent infections. A diagnosis is typically made with the biopsy of the affected lymph node or tumor tissue
  • Burkitt lymphoma is generally treated with chemotherapy supplemented with monoclonal antibody treatment. The standard of care is intensive chemotherapy; but, a new clinical study has determined that low-intensity chemotherapy may be effective in some cases. This provides the added benefit of less toxicity
  • Burkitt Lymphoma of Small Intestine is a high-grade malignancy. The prognosis of the condition is dependent upon a set of factors, most importantly the stage of the cancer. The prognosis is generally guarded

General information on lymphoma and lymphocytes:

  • Lymphoma is a type of cancer stemming from uncontrollably dividing lymphocytes (type of white blood cells). There are two types of lymphomas:
    • Hodgkin lymphoma
    • Non-Hodgkin lymphoma
  • Lymphocytes are the main white blood cells found in the lymph, which is the fluid of the lymphatic system; just as blood is the fluid of the circulatory system
  • Lymphocytes are made in bone marrow, and can develop into either B-cells or T-cells. Burkitt Lymphoma of Small Intestine arises from cancerous B-cells
  • Lymph results from filtration of blood as it travels to and from tissues. Lymph is colorless because it lacks red blood cells; instead, it contains lymphocytes. It is central to the immune system
  • There are 3 different kinds of lymphocytes:
    • T-lymphocytes or T cells: They help combat infections and abnormalities within the cells (cell-mediated immunity). They fight viruses and cancerous cells
    • B-lymphocytes or B cells: They produce antibodies that are bodily defense proteins, which target foreign invaders outside the cells (humoral immunity). They fight bacterial cells, cell fragments, and other immunogenic elements
    • Natural killer cells or NK cells: They perform diverse functions related to both cell-mediated and humoral immunity. They also scout for cancer cells, a process called immune surveillance

Who gets Burkitt Lymphoma of Small Intestine? (Age and Sex Distribution)

  • Children, adolescents, and young adults may be affected by Burkitt Lymphoma of Small Intestine
  • There is no gender preference observed; both males and females are at risk
  • All racial and ethnic groups may be affected
  • Most of Burkitt lymphoma cases are reported from tropical regions of Africa, generally from sub-Saharan Africa; such cases are known as the endemic type
  • Some cases are reported from across the globe; such cases are known as the sporadic type. In certain parts of Middle East Asia, the condition is common among children

What are the Risk Factors for Burkitt Lymphoma of Small Intestine? (Predisposing Factors)

No specific risk factors have been identified for Burkitt Lymphoma of Small Intestine. However, it is known to be associated with the following factors:

  • Epstein-Barr virus infection
  • Individuals with weak immune systems
  • Individuals belonging to the endemic regions of sub-Saharan Africa are at a higher risk
  • Chronic malaria

International Prognostic Index: According to some scientists, the International Prognostic Index may not be very helpful in evaluating Burkitt Lymphoma of Small Intestine. However, some scientists believe that it is helpful in some cases, to determine the prognosis.

The International Prognostic Index, for aggressive non-Hodgkin Lymphoma, lists a few factors that determine the overall risk:

  • Age over 60 years
  • Elevated level of serum lactate dehydrogenase - LDH (a type of enzyme)
  • Performance status, i.e. the overall health condition of the individual, which could range from being fully active (low risk) to being completely disabled (very high risk)
  • Individual, who have already suffered from lymphoma, or other types of blood cancers, may have a relapse or a recurrence
  • Presence of an immunodeficiency syndrome, like AIDS, is a high risk factor
  • Those infected with Epstein-Barr virus are also prone to the condition

It is important to note that having a risk factor does not mean that one will get the condition. A risk factor increases ones chances of getting a condition compared to an individual without the risk factors. Some risk factors are more important than others.

Also, not having a risk factor does not mean that an individual will not get the condition. It is always important to discuss the effect of risk factors with your healthcare provider.

What are the Causes of Burkitt Lymphoma of Small Intestine?

Lymphocytes are a type of white blood cells that are responsible for providing immunity in the human body. B-cells and T-cells are the two different types of lymphocytes. When under certain circumstances, the lymphocytes grow and multiply abnormally, it leads to a condition called as lymphoma, which is a most common type of cancer. There are 2 types of lymphoma:

  • Hodgkin lymphoma
  • Non-Hodgkin lymphoma

The exact cause of Burkitt Lymphoma of Small Intestine, a non-Hodgkin lymphoma, is unknown.

  • Genes, most importantly the c-MYC gene, are known to be involved in its formation. In many cases, B-cells have a mutation in the proto-oncogene MYC
  • It is also known that Burkitt Lymphoma of Small Intestine is associated with Epstein-Barr virus, chronic malaria, and HIV

It is believed that the abnormal development of lymphocytes gives rise to cancerous cells leading to the formation of this condition. Nevertheless, how this occurs and the factors that cause it remain under investigation.

What are the Signs and Symptoms of Burkitt Lymphoma of Small Intestine?

The signs and symptoms of Burkitt Lymphoma of Small Intestine include:

  • Presence of tumor that appear like polyps; a single mass or multiple masses may be present
  • Abdominal cramps and swelling
  • Ulceration of the bowel
  • Gastrointestinal bleeding
  • Diarrhea; sometimes there may be bloody diarrhea
  • Vomiting (sometimes with blood), nausea
  • Constipation; irregular bowel movement
  • Malabsorption
  • The lymphoma may also cause fluid to collect in the individual’s abdomen (ascites). Due to this fluid collection, the gastrointestinal (GI) tract may be affected, causing abdominal pain, diarrhea, and nausea
  • Other general symptoms may include:
    • Fever
    • Night sweats
    • Fatigue
    • Loss of appetite
    • Weight loss
  • Non-painful inflammation of the lymph nodes in the neck, groin, chest, abdomen, or armpit regions
  • If the cancer has reached the bone marrow, individuals may display anemia (low red blood cell count) and thrombocytopenia (low platelet count)
  • Burkitt lymphoma can also affect the central nervous system. If the cancer has spread to these regions, then the individual may have headaches, confusion, an inability to focus, and seizures
  • Some symptoms are specific to the two types of Burkitt Lymphoma - namely the endemic type and sporadic type
    • Endemic type involves swelling of the jaw, while the sporadic form typically does not involve the same
    • Abdominal symptoms are more commonly found in the sporadic form, than the endemic form

How is Burkitt Lymphoma of Small Intestine Diagnosed?

A diagnosis of Burkitt Lymphoma of Small Intestine may involve:

  • A physical examination and evaluation of medical history
  • Blood tests that may include:
    • Complete blood cell count (CBC) blood test
    • Absolute lymphocyte count on peripheral blood
    • Liver function blood test (LFT)
    • Lactate dehydrogenase (LDH) blood test
    • Chemistry panel
    • Serum calcium levels
    • Serum albumin levels
    • HIV testing
  • Since the lymphoma involves the lymph nodes, biopsies of enlarged lymph nodes are taken and examined in a lab to determine if the cells are malignant or benign. The biopsies may be performed under general or local anesthesia. Normally, the entire lymph node is removed to help determine the subtype of lymphoma
  • Tissue biopsy from the affected region of small intestine:
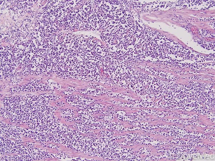
    • A biopsy of the tumor is performed and sent to a laboratory for a pathological examination. A pathologist examines the biopsy under a microscope. After putting together clinical findings, special studies on tissues (if needed) and with microscope findings, the pathologist arrives at a definitive diagnosis. Examination of the biopsy under a microscope by a pathologist is considered to be gold standard in arriving at a conclusive diagnosis
    • Biopsy specimens are studied initially using Hematoxylin and Eosin staining. The pathologist then decides on additional studies depending on the clinical situation
    • Sometimes, the pathologist may perform special studies, which may include immunohistochemical stains, molecular testing, flow cytometric analysis and very rarely, electron microscopic studies, to assist in the diagnosis
  • Radiological imaging may be performed specific to location of the involved organ, and to determine the extent of lymphoma in the body including:
    • X-ray of the abdomen and pelvic region
    • Barium enema x-ray
    • CT or MRI scan of the abdomen and pelvic region
    • Abdominal ultrasound scan
    • Upper GI endoscopy: An endoscopic procedure is performed using an instrument called an endoscope, which consists of a thin tube and a camera. Using this technique, the radiologist can have a thorough examination of the insides of the gastrointestinal tract
    • Vascular radiological studies
    • Whole body bone scan
    • Whole body CT-PET scans to determine how far the lymphoma has spread, by checking the size and metabolic rate (a reflection of uncontrolled growth) of lymph nodes, throughout the body. This can also help determine, if the cancer has spread to other organ systems
    • Brain MRIs are used if neurological symptoms are present, which can help determine if the cancer has spread to the brain, or to tissues that cover the brain
  • Exploratory laparoscopy (diagnostic laparoscopy) may be required, if gastrointestinal symptoms are present. In this procedure, the abdomen is examined using a minimally-invasive technique, and a tissue biopsy and tissue for culture obtained. Minimally-invasive approaches help decrease complications and the length of stay at the hospital. A diagnostic laparoscopy is also helpful in staging of the tumor. Nevertheless, this procedure is not very much used
  • Bone marrow aspiration and biopsy is performed and sent to a laboratory for a pathological examination, to determine if the bone marrow is involved. Sometimes, the pathologist may perform special studies, which may include immunohistochemical stains, histochemical stains, molecular testing, and very rarely electron microscopic studies. However, a bone marrow biopsy is not needed in the early stages of the condition
  • Flow cytometry to identify cells as they flow through an instrument, called a flow cytometer. Flow cytometry measures the number and percentage of cells in a blood sample, and cell characteristics such as size, shape, and the presence of biomarkers on the cell surface. This method helps to sub-classify the condition and also to detect residual levels of disease after treatment. This tool can help in diagnosing relapse and restart treatment as needed
  • Fluorescence in situ hybridization (FISH): It is a test performed on the blood or bone marrow cells to detect chromosome changes (cytogenetic analysis) in blood cancer cells. The test helps in identifying genetic abnormalities that may not be evident with an examination of cells under a microscope
  • Immunophenotyping to identify a specific type of cell in a sample, which can help determine the best treatment course to be followed
  • Polymerase chain reaction (PCR): It is used to measure the presence of certain biomarkers in blood or bone marrow cells. The test is ultrasensitive and detects extremely low amounts of biomarkers remaining in blood, which can be missed by cytogenetic methods, such as FISH, karyotype, or flow cytometry. PCR allows a more sensitive follow-up of patients in remission and can help determine whether additional treatment is necessary
  • Lumbar puncture to determine if the brain is involved
  • In addition, the cerebrospinal spinal fluid (CSF) may be collected by inserting a needle in the spine and subjected to microscopic, flow cytometric, PCR, and biochemical analysis, to diagnose central nervous system (CNS) involvement, if any

Note: Differential diagnoses, to eliminate other tumor types are often considered, before arriving at a definitive diagnosis.

Many clinical conditions may have similar signs and symptoms. Your healthcare provider may perform additional tests to rule out other clinical conditions to arrive at a definitive diagnosis.

What are the possible Complications of Burkitt Lymphoma of Small Intestine?

The complications of Burkitt Lymphoma of Small Intestine may include:

  • The lymphoma can spread to other parts of the body such as the blood, bone marrow, or the central nervous system
  • Loss of function of the organ/area to which cancer has spread due to systemic involvement
  • Obstruction of the bowel if the tumor is large leading to impeded food and stool movement
  • Perforation or rupture of the bowel
  • If the condition spreads to the brain and central nervous system, it can give rise to:
    • Inflammation of the meninges or brain (that can be lethal)
    • Vision changes
    • Facial numbness
  • Chemotherapy weakens the immune system, and hence, recurrent infections may occur. It may also cause the following:
    • Anemia
    • Thrombocytopenia
    • Ulcers in the mouth
    • Nausea
    • Hair loss
    • Fatigue
    • Peripheral neuropathy (abnormal changes in sensation/feeling in one’s hands and feet)
  • Tumor lysis syndrome: The death and breakdown of cancer cells can cause the kidneys to be overloaded. If left untreated, tumor lysis syndrome can result in the need for dialysis due to kidney failure

How is Burkitt Lymphoma of Small Intestine Treated?

The treatment is dependent upon the stage of the cancer. Staging is important because different treatment regimens are necessary, depending on the progression of the lymphoma. There are 4 possible stages of Burkitt Lymphoma of Small Intestine:

  • Stage I - only one group of lymph nodes has cancer
  • Stage II - two groups of lymph nodes are cancerous. However, the two groups are either in the chest area (above the diaphragm) or in the abdomen region (below the diaphragm)
  • Stage III - multiple groups of lymph nodes are affected, and the cancer is present above and below the diaphragm
  • Stage IV - the lymphoma has reached the bone marrow or organs, not in the lymphatic system

The most common form of treatment of Burkitt Lymphoma of Small Intestine is intensive chemotherapy, which is administered under hospitalization. The treatment may last for many months.

  • The drugs are usually given intravenously, either through a central line (catheter placed in a vein near the chest/heart) or through a PICC line (peripherally inserted central catheter) in the arm
  • Rituximab may be used in combination with the chemotherapy. Rituximab is a monoclonal antibody that targets a protein called CD20. This protein is found on the surface of cancerous B-cells. The antibody works by recognizing and attaching to cells with CD20. The antibody then directs the immune system, to destroy the particular cell
  • Also, chemotherapy may be given intrathecally, to deliver the drugs directly to the cerebrospinal fluid, in order to prevent the spread of the cancer to the fluid, or to treat the condition if cancer has spread to the cerebrospinal fluid
  • Radiation: Radiation therapy is the use of high-energy radiation waves to kill cancer cells, by destroying their DNA
    • This treatment modality is generally used for early stage lymphomas. It is most commonly used in combination with chemotherapy
    • The radiation may be administered by a machine placed outside the body, or by placing a radioactive material inside the body
    • The side effects of radiation therapy include nausea, vomiting, fatigue, pain, risk of cancer later in life, and risk of heart disease
    • Radiation can damage healthy cells in addition to cancer cells, causing further complications
  • Supportive treatment: Steroids, blood transfusions, anti-nausea medications, and antibiotics, may be used as supportive therapy. In combination with other treatment measures, these can help combat the symptoms of immunodeficiency
  • In some cases, bone marrow or stem cell transplants may be considered. This may be performed so that the individuals can undergo more intensive chemotherapy. In this form of treatment, very high doses of chemotherapy drugs are used, which results in a destruction of the bone marrow and stem cells along with the cancer cells. The individual is then usually given donor stem cells, or the individuals own stem cells, which were collected before the treatment
  • In order to prevent infections because the immune system is weakened by Burkitt's Lymphoma of Small Intestine or by its treatment, the patient is kept in an isolated ward and treated with appropriate antibiotics
  • Nowadays targeted therapies are being developed that can selectively kill the cancer cells. Many of them are in the stage of clinical trials
  • Clinical trials: There may be some newer treatment options, currently on clinical trials, which can be considered for some patients depending on their respective risk factors

Your healthcare provider will determine the best course of treatment depending on your individual circumstances. Also, follow-up care with regular screening and check-ups are important post-treatment.

How can Burkitt Lymphoma of Small Intestine be Prevented?

Currently, there are no specific methods or guidelines to prevent the formation of Burkitt Lymphoma of Small Intestine. However, controlling certain factors may help lower one’s risk for the condition.

  • Healthy diet and exercise, as well as avoidance of unnecessary exposure to chemicals, may help decrease its risk
  • Avoiding smoking
  • Promptly treat malaria and other viral infections
  • Undertaking appropriate and early treatment of any condition that affects the GI tract
  • Using appropriate protective gear while working with x-rays and other radioactive source
  • In order to avoid a relapse, or be prepared for a recurrence, the entire diagnosis, treatment process, drugs administered, etc. should be well-documented and follow-up measures initiated

Regular medical screening at periodic intervals with blood tests, scans, and physical examinations, are mandatory. Often several years of active vigilance are crucial and necessary.

What is the Prognosis of Burkitt Lymphoma of Small Intestine? (Outcomes/Resolutions)

  • The prognosis of Burkitt Lymphoma of Small Intestine depends on the stage of the cancer, the individual’s health status, and their response to treatment. The prognosis of the condition is guarded
  • The prognosis depends upon a set of several factors, which include:
    • Stage of tumor: With lower-stage tumors, when the tumor is confined to site of origin, the prognosis is usually excellent with appropriate therapy. In higher-stage tumors, such as tumors with metastasis, the prognosis is poor
    • Overall health of the individual: Individuals with overall excellent health have better prognosis compared with those with poor health
    • Age of the individual: Older individuals generally have poorer prognosis than younger individuals
    • The size of the tumor: Individuals with small-sized tumors fare better than those with large-sized tumors
    • Individuals with bulky disease have a poorer prognosis
    • Involvement of vital organs may complicate the condition
    • The surgical respectability of the tumor (meaning, if the tumor can be removed completely) - it is a rare option
    • Whether the tumor is occurring for the first time, or is a recurrent tumor. Recurring tumors have worse prognosis compared to tumors that do not recur
    • Response to treatment: Tumors that respond to treatment have better prognosis compared to tumors that do not respond to treatment
    • Progression of the condition makes the outcome worse (progressive Burkitt Lymphoma of Small Intestine)
  • An early diagnosis and prompt treatment of the tumor generally yields better outcomes than a late diagnosis and delayed treatment
  • Individuals with the cancer, which has involved sites outside of the lymphatic system, may have a poorer outcome
  • If the lymphoma reappears after the treatment (comes back after initially responding to treatment), the prognosis is generally poor
  • The combination chemotherapy drugs used, may have some severe side effects (such as cardio-toxicity). This chiefly impacts the elderly adults, or those who are already affected by other medical conditions. Tolerance to the chemotherapy sessions is a positive influencing factor
  • Progression to bone marrow failure is usually associated with short survival

Additional and Relevant Useful Information for Burkitt Lymphoma of Small Intestine:

  • A tissue biopsy study of the endemic and sporadic forms of Burkitt lymphoma, generally reveals the same set of results
  • Treatment for Burkitt Lymphoma of Small Intestine can cause physical and emotional distress; supportive care and encouragement, help positively and can bring a measure of relief to the patients

The following article link will help you understand leukemia and lymphoma (blood cancer):

http://www.dovemed.com/diseases-conditions/leukemia-and-lymphoma/

Was this article helpful

On the Article

Krish Tangella MD, MBA picture
Approved by

Krish Tangella MD, MBA

Pathology, Medical Editorial Board, DoveMed Team

0 Comments

Please log in to post a comment.

Related Articles

Test Your Knowledge

Asked by users

Related Centers

Loading

Related Specialties

Loading card

Related Physicians

Related Procedures

Related Resources

Join DoveHubs

and connect with fellow professionals

Related Directories

Who we are

At DoveMed, our utmost priority is your well-being. We are an online medical resource dedicated to providing you with accurate and up-to-date information on a wide range of medical topics. But we're more than just an information hub - we genuinely care about your health journey. That's why we offer a variety of products tailored for both healthcare consumers and professionals, because we believe in empowering everyone involved in the care process.
Our mission is to create a user-friendly healthcare technology portal that helps you make better decisions about your overall health and well-being. We understand that navigating the complexities of healthcare can be overwhelming, so we strive to be a reliable and compassionate companion on your path to wellness.
As an impartial and trusted online resource, we connect healthcare seekers, physicians, and hospitals in a marketplace that promotes a higher quality, easy-to-use healthcare experience. You can trust that our content is unbiased and impartial, as it is trusted by physicians, researchers, and university professors around the globe. Importantly, we are not influenced or owned by any pharmaceutical, medical, or media companies. At DoveMed, we are a group of passionate individuals who deeply care about improving health and wellness for people everywhere. Your well-being is at the heart of everything we do.

© 2023 DoveMed. All rights reserved. It is not the intention of DoveMed to provide specific medical advice. DoveMed urges its users to consult a qualified healthcare professional for diagnosis and answers to their personal medical questions. Always call 911 (or your local emergency number) if you have a medical emergency!