DoveMed.com

Benign Endometrioid Cystadenofibroma of Ovary

Articlebecfovary
Sexual Health
Women's Health
+2
Contributed byKrish Tangella MD, MBAMay 11, 2018

What are the other Names for this Condition? (Also known as/Synonyms)

  • Benign Endometrioid Ovarian Cystadenofibroma

What is Benign Endometrioid Cystadenofibroma of Ovary? (Definition/Background Information)

  • Benign Endometrioid Cystadenofibroma of Ovary is a common benign ovarian tumor that generally affects middle-aged women (40-60 years old). The causal factors for Benign Endometrioid Cystadenofibroma of Ovary are unknown
  • Tumors of the ovaries can be benign, borderline or low malignant potential (LMP), or malignant tumors. Thus, not all ovarian tumors are cancers
  • Benign tumors are not cancerous and do not spread or metastasize. Borderline or low malignant potential (LMP) tumors are usually benign, but some of them can behave like cancers. Malignant tumors are cancers that spread and metastasize
  • Benign Endometrioid Cystadenofibroma of Ovary is a slow-growing tumor. It usually occurs as a single cyst in one ovary, in a majority of the cases. Rarely though, it can occur as multiple masses within a single ovary, or may affect both the ovaries as well
  • These tumors originate from the epithelial cells in the ovary and are considered to be of serous type of tumors, based on their appearance under a microscope
  • Benign Endometrioid Cystadenofibroma of Ovary usually presents with signs and symptoms, such as abdominal pain, vaginal bleeding, and increasing abdominal size. Many such tumors are asymptomatic and are usually discovered during an abdominal ultrasound, performed for other health reasons
  • A majority of these ovarian tumors do not cause any significant complications. However, a few complications may include rupture of the cyst within the abdomen, and torsion of the ovary
  • The treatment for Benign Endometrioid Cystadenofibroma of Ovary is complete surgical excision of the tumor. With prompt and appropriate treatment, the prognosis is generally excellent

Who gets Benign Endometrioid Cystadenofibroma of Ovary? (Age and Sex Distribution)

  • Benign Endometrioid Cystadenofibroma of Ovary can occur worldwide in women of any race or ethnicity, between the ages of 20-80 years. It is more commonly observed between 40 to 60 years of age
  • Infants and young children are usually not affected

What are the Risk Factors for Benign Endometrioid Cystadenofibroma of Ovary? (Predisposing Factors)

  • The risk factors for Benign Endometrioid Cystadenofibroma of Ovary are unknown
  • However, women who are overweight and post-menopausal women taking hormone replacement therapy (HRT) are at an increased risk

It is important to note that having a risk factor does not mean that one will get the condition. A risk factor increases ones chances of getting a condition compared to an individual without the risk factors. Some risk factors are more important than others.

Also, not having a risk factor does not mean that an individual will not get the condition. It is always important to discuss the effect of risk factors with your healthcare provider.

What are the Causes of Benign Endometrioid Cystadenofibroma of Ovary? (Etiology)

  • The exact cause of Benign Endometrioid Cystadenofibroma of Ovary is currently unknown; they are thought to occur spontaneously
  • Researchers have documented certain genetic changes within the tumor. However, cases where these specific genetic mutations have been observed are rare. Thus, studies regarding genetic changes remain limited

What are the Signs and Symptoms of Benign Endometrioid Cystadenofibroma of Ovary?

The signs and symptoms of Benign Endometrioid Cystadenofibroma of Ovary include:

  • Abdominal pain (the pain is usually in the pelvic region)
  • Abdominal swelling due to the mass or due to fluid accumulation in the belly (called ascites)
  • Increased abdominal girth due to fluid accumulation (ascites)
  • Persistent feeling of abdominal bloating with nausea or vomiting
  • Changes in bowel movements, such as constipation
  • Feeling full soon after eating less (having a feeling of satiety after eating less)
  • Loss of appetite with weight loss
  • Fatigue, feeling tired easily
  • Abnormal menstrual bleeding
  • In many cases, Benign Endometrioid Cystadenofibroma of Ovary does not cause any signs and symptoms; however in others, a wide range of behavior is noted. The tumor may appear as a painless mass

Some of the other features of Benign Endometrioid Cystadenofibroma of Ovary include:

  • A Benign Endometrioid Cystadenofibroma of Ovary is a slow-growing tumor of the ovary. it usually presents as a single well-defined mass in the ovary
  • The nodule is typically less than 5 cm in size (along the largest dimension), however some may grow to greater sizes
  • Some cases, where this ovarian tumor grew up to 30 cm, have been reported
  • Large tumors may occasionally rupture spilling cyst contents into the belly
  • The Benign Endometrioid Cystadenofibroma of Ovary may occur as a new growth that develops over many years.

How is Benign Endometrioid Cystadenofibroma of Ovary Diagnosed?

The following are the diagnostic tools used for Benign Endometrioid Cystadenofibroma of Ovary:

  • A thorough physical examination with pelvic examination and a complete medical history is very vital
  • Complete blood count (CBC) with differential of white blood cells
  • Blood tests called serum tumor markers may be performed initially before a biopsy, to rule out the possibility of ovarian cancer. These may include:
    • CA-125 test
    • Human chorionic gonadotropin (HCG)
    • Alpha-fetoprotein (AFP)
    • Lactate dehydrogenase (LDH)            
    • Inhibin (hormone)
    • Estrogen levels
    • Testosterone levels                   
  • Exploratory laparoscopy (diagnostic laparoscopy): This is a procedure wherein the abdomen is examined using a minimally invasive technique. During this procedure, a tissue biopsy and tissue for culture may also be performed. A minimally invasive approach helps decrease the complications and length of stay at the hospital
  • A tissue biopsy of the tumor: A tissue biopsy is performed and sent to the laboratory for pathological examination

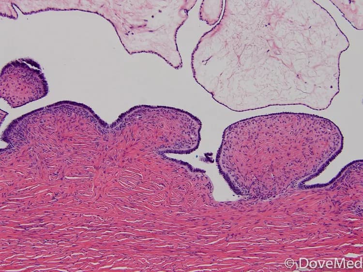
A pathologist examines the biopsy under a microscope. After putting together the clinical findings, special studies on tissues (if needed), and the microscope findings, the pathologist arrives at a definitive diagnosis. Sometimes, the pathologist may perform special studies that may include immunohistochemical stains, histochemical stains, molecular testing, and very rarely, electron microscopic studies. Examination of the biopsy under a microscope by a pathologist is considered to be the gold standard in arriving at a conclusive diagnosis.

A differential diagnosis is often undertaken to eliminate other tumor types, before arriving at a definitive diagnosis.

Radiological imaging studies may include:

  • X-ray of the abdomen and pelvic region
  • CT scan of the abdomen and pelvic region
  • MRI scan of abdomen and pelvic region
  • Ultrasound scans of the pelvic region; usually transvaginal ultrasonography (TVS) and abdominal ultrasound scans are performed


Many clinical conditions may have similar signs and symptoms. Your healthcare provider may perform additional tests to rule out other clinical conditions to arrive at a definitive diagnosis.

What are the possible Complications of Benign Endometrioid Cystadenofibroma of Ovary?

Benign Endometrioid Cystadenofibroma of Ovary rarely causes any significant complication. However, a few may include:

  • Rupture of the cyst within the abdomen
  • Torsion of the ovary

These conditions can cause severe abdominal pain requiring urgent surgical exploration of the abdomen.

How is Benign Endometrioid Cystadenofibroma of Ovary Treated?

The following measures may be undertaken to treat Benign Endometrioid Cystadenofibroma of Ovary:

  • If the tumor is small, usually no treatment is needed, since these tumors are benign
  • In rest of the cases, a surgical excision with complete removal of the tumor is considered sufficient treatment
  • Post-operative care is important: A minimal physical activity is advised, until the surgical wound heals

The healthcare provider will determine and plan the best course of treatment on a case-by-case basis.

How can Benign Endometrioid Cystadenofibroma of Ovary be Prevented?

The cause of Benign Endometrioid Cystadenofibroma of Ovary is unknown. Hence, there are no known methods to prevent the tumor occurrence.

  • Early diagnosis with close monitoring and treatment of the tumor is important. A timely tumor recognition and prompt treatment will help in having optimal outcomes
  • The US Preventive Services Task Force (USPSTF) currently does not have any recommendation for screening against ovarian cancer for the general population. Tests such as blood serum CA125 level or trans-vaginal ultrasonography are not really helpful as screening tools
  • The National Cancer Institute (NCI) recommends that women who are at high risk for ovarian cancer take regular (annual) examinations. The healthcare provider may perform studies such as ultrasonography examinations and CA125 testing as part of one’s annual physical examination

What is the Prognosis of Benign Endometrioid Cystadenofibroma of Ovary? (Outcomes/Resolutions)

  • The prognosis of Benign Endometrioid Cystadenofibroma of Ovary is excellent after its surgical removal
  • The prognosis is generally good when the lesions are small and found below the ovarian surface. Such tumors also have very low recurrence risk on compete removal through surgery

Additional and Relevant Useful Information for Benign Endometrioid Cystadenofibroma of Ovary:

The following DoveMed website link is a useful resource for additional information:

https://www.dovemed.com/diseases-conditions/cancer/

Was this article helpful

On the Article

Krish Tangella MD, MBA picture
Approved by

Krish Tangella MD, MBA

Pathology, Medical Editorial Board, DoveMed Team

0 Comments

Please log in to post a comment.

Related Articles

Test Your Knowledge

Asked by users

Related Centers

Loading

Related Specialties

Loading card

Related Physicians

Related Procedures

Related Resources

Join DoveHubs

and connect with fellow professionals

Related Directories

Who we are

At DoveMed, our utmost priority is your well-being. We are an online medical resource dedicated to providing you with accurate and up-to-date information on a wide range of medical topics. But we're more than just an information hub - we genuinely care about your health journey. That's why we offer a variety of products tailored for both healthcare consumers and professionals, because we believe in empowering everyone involved in the care process.
Our mission is to create a user-friendly healthcare technology portal that helps you make better decisions about your overall health and well-being. We understand that navigating the complexities of healthcare can be overwhelming, so we strive to be a reliable and compassionate companion on your path to wellness.
As an impartial and trusted online resource, we connect healthcare seekers, physicians, and hospitals in a marketplace that promotes a higher quality, easy-to-use healthcare experience. You can trust that our content is unbiased and impartial, as it is trusted by physicians, researchers, and university professors around the globe. Importantly, we are not influenced or owned by any pharmaceutical, medical, or media companies. At DoveMed, we are a group of passionate individuals who deeply care about improving health and wellness for people everywhere. Your well-being is at the heart of everything we do.

© 2023 DoveMed. All rights reserved. It is not the intention of DoveMed to provide specific medical advice. DoveMed urges its users to consult a qualified healthcare professional for diagnosis and answers to their personal medical questions. Always call 911 (or your local emergency number) if you have a medical emergency!