DoveMed.com

Basal Cell Adenoma of Salivary Gland

Article
Dental Health
Diseases & Conditions
+1
Contributed byMaulik P. Purohit MD MPHMay 10, 2018

What are the other Names for this Condition? (Also known as/Synonyms)

  • Major Salivary Gland Basal Cell Adenoma
  • Minor Salivary Gland Basal Cell Adenoma
  • Salivary Gland BCA

What is Basal Cell Adenoma of Salivary Gland? (Definition/Background Information)

  • Basal Cell Adenoma (BCA) of Salivary Gland is a rare and benign overgrowth arising from salivary tissue
  • The cause of formation of the tumor is unknown, and currently, no known methods exist to prevent occurrence of the tumor
  • Most small tumors are asymptomatic, though the larger ones may compress the surrounding structures and cause related signs and symptoms
  • The diagnosis of Basal Cell Adenoma of Salivary Gland can be confirmed through a tissue biopsy. The treatment is a complete surgical removal of the tumor with adequate margins
  • The prognosis of solitary Basal Cell Adenomas of Salivary Gland is dependent on whether the tumor can be completely removed through surgery or not. The prognosis is good in most cases, since it is a benign tumor

There are several different subtypes of Basal Cell Adenomas of the Salivary Gland including:

  • Solid Basal Cell Adenoma of the Salivary Gland
  • Trabecular Basal Cell Adenoma of the Salivary Gland
  • Tubular Basal Cell Adenoma of the Salivary Gland
  • Membranous Basal Cell Adenoma of the Salivary Gland

Who gets Basal Cell Adenoma of Salivary Gland? (Age and Sex Distribution)

  • Basal Cell Adenomas of Salivary Gland can be present in individuals between 40 and 80 years of age, but is usually diagnosed in the fifth and sixth decade (between 40-60 years) with an average age of diagnosis of 58 years
  • The condition is more common in females; a female-to-male ratio of 2:1 is noted
  • Though it is a rare tumor, it is seen worldwide and all races and ethnic groups may be affected

What are the Risk Factors for Basal Cell Adenoma of Salivary Gland? (Predisposing Factors)

  • No clearly identified risk factors for Basal Cell Adenomas of Salivary Glands have been established to date
  • Infrequently, these adenomas have been associated with Brooke-Spiegler syndrome (a genetic disorder causing the formation of multiple tumors in the body)

It is important to note that having a risk factor does not mean that one will get the condition. A risk factor increases one’s chances of getting a condition compared to an individual without the risk factors. Some risk factors are more important than others.

Also, not having a risk factor does not mean that an individual will not get the condition. It is always important to discuss the effect of risk factors with your healthcare provider.

What are the Causes of Basal Cell Adenoma of Salivary Gland? (Etiology)

  • Currently, scientists do not know the factor(s) causing Basal Cell Adenomas of Salivary Gland
  • Very rarely, these adenomas can be congenital in origin (acquired at birth) and seen in association with Brooke-Spiegler syndrome (a rare genetic disorder)

What are the Signs and Symptoms of Basal Cell Adenoma of Salivary Gland?

The signs and symptoms of Basal Cell Adenoma of Salivary Gland depend on the size of the tumor. The size may range from 0.7-7cm with the majority measuring around 3cm. They are usually slow-growing and form a mobile mass.

Basal cell adenomas account for 2-6% of all salivary gland tumors.

  • A majority of the tumors are confined to the major salivary glands (parotid glands, in 80% of the cases), with the area behind the jaw being the most common location
  • When found in the minor salivary glands, most tumors are found on the inner surface of the upper lip (on the buccal mucosa)
  • Rarely, basal cell adenomas can arise in the lymph nodes of the neck due to the presence of ectopic/abnormal tissue

Small tumors usually do not cause any symptoms. But, occasionally they may become painful, if they compress surrounding structures. Basal Cell Adenoma of the Salivary Glands may occur as a slowly-enlarging painless mass. The following signs and symptoms may be noted:

  • Foul or abnormal tastes
  • Difficulty in opening one’s mouth; pain while eating (pain may be felt in the mouth and face)
  • Numbness of part of the face
  • Dryness of mouth
  • Inability to move one side of the face due to damage to the facial nerve, known as facial nerve palsy
  • Swollen salivary glands: Swelling of the face, in front of the ears (parotid gland), below the jaw (submandibular gland), or at the floor of the mouth (sublingual gland)
  • Facial pain

How is Basal Cell Adenoma of Salivary Gland Diagnosed?

The following exams and procedures may be used in the diagnosis of Basal Cell Adenomas of Salivary Gland:

  • Evaluation of the individual’s medical history and a through physical examination
  • Plain X-ray of the head and neck region
  • Ultrasound scan of the affected salivary gland
  • CT or CAT scan with contrast of the head and neck usually shows a well-enhanced, possibly cystic formation containing mucinous fluid. This radiological procedure creates detailed 3-dimensional images of structures inside the scanned region
  • MRI scans of head and neck region: A magnetic field is used to create high-quality pictures of certain parts of the body, such as tissues, muscles, nerves, and bones. These high-quality pictures may reveal the presence of the tumor

Although the above modalities can be used to make an initial diagnosis, a tissue biopsy of the tumor is necessary to make a definitive diagnosis to begin treatment. The tissue for diagnosis can be procured in multiple different ways which include:

  • Fine needle aspiration (FNA) biopsy of the tumor: A FNA biopsy may not be helpful, because one may not be able to visualize the different morphological areas of the tumor. Hence, a FNA biopsy as a diagnostic tool has certain limitations, and an open surgical biopsy may be recommended.  
  • Salivary gland core biopsy of the tumor
  • Salivary gland open biopsy of the tumor

Tissue biopsy:

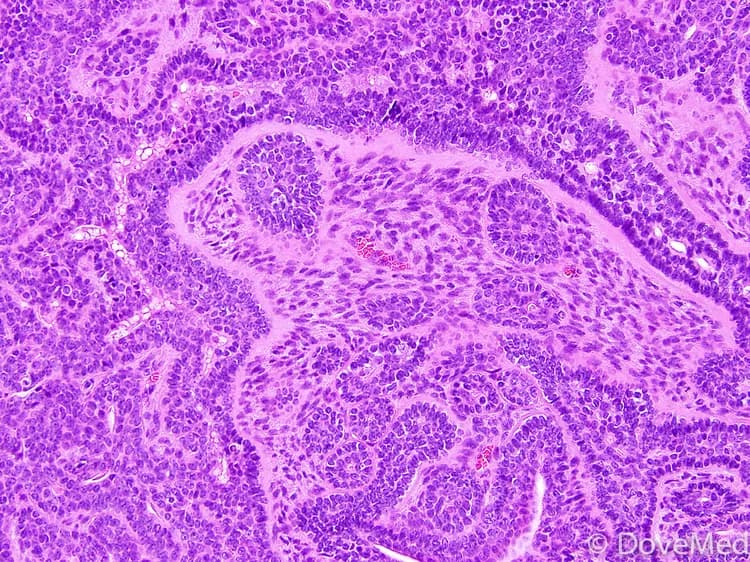
  • A tissue biopsy of the tumor is performed and sent to a laboratory for a pathological examination. A pathologist examines the biopsy under a microscope. After putting together clinical findings, special studies on tissues (if needed) and with microscope findings, the pathologist arrives at a definitive diagnosis. Examination of the biopsy under a microscope by a pathologist is considered to be gold standard in arriving at a conclusive diagnosis
  • Biopsy specimens are studied initially using Hematoxylin and Eosin staining. The pathologist then decides on additional studies depending on the clinical situation
  • Sometimes, the pathologist may perform special studies, which may include immunohistochemical stains, molecular testing, and very rarely, electron microscopic studies to assist in the diagnosis

The differential diagnosis of a Basal Cell Adenoma of Salivary Gland may include:

  • Basal cell adenocarcinoma
  • Adenoid cystic carcinoma
  • Pleomorphic adenoma
  • Polymorphous low-grade adenocarcinoma
  • Dermal cylindroma
  • Trichoepithelioma
  • Spiradenoma

Many clinical conditions may have similar signs and symptoms. Your healthcare provider may perform additional tests to rule out other clinical conditions to arrive at a definitive diagnosis.

What are the possible Complications of Basal Cell Adenoma of Salivary Gland?

Significant complications due to Basal Cell Adenoma of Salivary Gland are generally not noted. In some cases, the following may be observed:

  • The tumors are known to recur following surgical procedures to remove them; a high recurrence rate is generally noted
  • Surgery to remove the tumor mass may result in facial nerve palsy (surgical complication)
  • Post-surgical wound infection
  • Complications that may arise from Brooke-Spiegler syndrome (if present)

How is Basal Cell Adenoma of Salivary Gland Treated?

  • A complete surgical excision with clear or wide margins is the preferred mode of treatment of Basal Cell Adenoma of Salivary Gland. This can result in a cure
  • Post-operative care is important: One must maintain minimum activity levels, until the surgical wound heals
  • Long-term follow-up is required, because recurrence at the site of surgery have been reported many years after surgery

How can Basal Cell Adenoma of Salivary Gland be Prevented?

  • Current medical research has not established a method of preventing the formation of Basal Cell Adenoma of Salivary Glands
  • Regular medical screening at periodic intervals with blood tests, radiological scans, and physical examinations, for those who have already endured the tumor, are helpful

What is the Prognosis of Basal Cell Adenoma of Salivary Gland? (Outcomes/Resolutions)

  • The most reliable prognostic factor of a Basal Cell Adenoma of Salivary Gland is whether the tumor can be completely removed through surgery with free margins (no traces of the tumor in adjoining tissue)
  • Current studies show that the tumor does not have any specific histologic feature (when a pathologist examines the tissue under a microscope), which can help in assessing a definite prognosis for the tumor
  • Individuals have an excellent overall prognosis following first complete surgical resection of the tumor
  • As with any tumor, it is important to have follow-up appointments with a physician to monitor for any returning tumors

The prognosis of Basal Cell Adenomas of the Salivary Gland may also depend upon a set of several factors, which include:

  • The surgical respectability of the tumor (meaning, if the tumor can be removed completely) 
  • Overall health of the individual: Individuals with overall excellent health have better prognosis compared with those with poor health
  • Age of the individual: Older individuals generally have poorer prognosis than younger individuals
  • Whether the tumor is occurring for the first time, or is a recurrent tumor. Recurring tumors have poorer prognosis compared to tumors that do not recur

An early diagnosis and prompt treatment of the tumor generally yields better outcomes than a late diagnosis and delayed treatment.

Additional and Relevant Useful Information for Basal Cell Adenomas of Salivary Gland:

There are 3 major types of salivary glands and these include the following:

  • Parotid glands, found on the sides of the face
  • Submandibular glands located at the back of mouth, on both sides of the jaw
  • Sublingual glands that are seen under the floor of the mouth

The salivary glands produce saliva that helps in:

  • Lubricating the mouth
  • Swallowing
  • Protects the teeth against bacteria
  • Digestion of food

A tumor is an abnormal growth of tissue arising due to uncontrolled and rapid multiplication of cells that serve no function. They are also called neoplasms. Tumors can be benign or cancerous. A benign tumor may generally indicate no threat to one’s health; it also means that it is not “cancerous”

  • Grossly, Basal Cell Adenomas of Salivary Glands are monomorphic, low-grade, encapsulated, and often cystic lesions
  • A pathologist may use special studies such as special stains. Special stains (markers) used on biopsy samples may include keratin, alpha-1-antichymotrypsin, CEA, S100, vimentin, and actin
Was this article helpful

On the Article

Maulik P. Purohit MD MPH picture
Approved by

Maulik P. Purohit MD MPH

Assistant Medical Director, Medical Editorial Board, DoveMed Team

0 Comments

Please log in to post a comment.

Related Articles

Test Your Knowledge

Asked by users

Related Centers

Loading

Related Specialties

Loading card

Related Physicians

Related Procedures

Related Resources

Join DoveHubs

and connect with fellow professionals

Related Directories

Who we are

At DoveMed, our utmost priority is your well-being. We are an online medical resource dedicated to providing you with accurate and up-to-date information on a wide range of medical topics. But we're more than just an information hub - we genuinely care about your health journey. That's why we offer a variety of products tailored for both healthcare consumers and professionals, because we believe in empowering everyone involved in the care process.
Our mission is to create a user-friendly healthcare technology portal that helps you make better decisions about your overall health and well-being. We understand that navigating the complexities of healthcare can be overwhelming, so we strive to be a reliable and compassionate companion on your path to wellness.
As an impartial and trusted online resource, we connect healthcare seekers, physicians, and hospitals in a marketplace that promotes a higher quality, easy-to-use healthcare experience. You can trust that our content is unbiased and impartial, as it is trusted by physicians, researchers, and university professors around the globe. Importantly, we are not influenced or owned by any pharmaceutical, medical, or media companies. At DoveMed, we are a group of passionate individuals who deeply care about improving health and wellness for people everywhere. Your well-being is at the heart of everything we do.

© 2023 DoveMed. All rights reserved. It is not the intention of DoveMed to provide specific medical advice. DoveMed urges its users to consult a qualified healthcare professional for diagnosis and answers to their personal medical questions. Always call 911 (or your local emergency number) if you have a medical emergency!