DoveMed.com

Atypical Glomus Tumor

Articleatypicalglomustumor
Diseases & Conditions
Cancer & Benign Tumors
+1
Contributed byMaulik P. Purohit MD MPHApr 26, 2018

What are the other Names for this Condition? (Also known as/Synonyms)

  • Glomangiomatosis
  • Glomus Tumor of Uncertain Malignant Potential
  • Glomus Tumor of Uncertain Malignant Proliferation

What is Atypical Glomus Tumor? (Definition/Background Information)

  • Glomus tumors are a group of uncommon tumors caused by the proliferation of glomus cells, which are found in the glomus body. The glomus body is a small organ found in large numbers all over the body. It controls and helps regulate the body temperature and blood flow
  • Based upon the histology features under the microscope, glomus tumors can be classified as:
    • Benign Glomus Tumor
    • Atypical Glomus Tumor
    • Malignant Glomus Tumor
  • Atypical Glomus Tumors are very rare tumors that are mostly observed in the body tissues (mostly deep-seated). It is difficult to predict the behavior of these tumors. Many Atypical Glomus Tumors behave in a benign fashion initially; however, with time, they may show features of malignancy such as metastasis
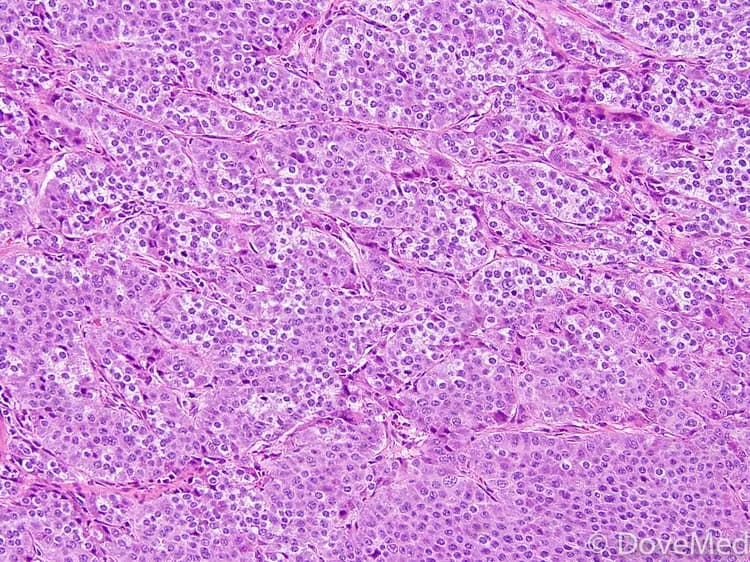
  • Atypical Glomus Tumors are classified as tumors that do not have all the criteria of malignancy, but have some atypical features. During a diagnostic of a tissue biopsy by a pathologist, the following features may be observed under a microscope:
    • The tumor cells have atypical features in the nucleus
    • The tumor has an increased cell division activity (mitotic activity) with atypical mitotic forms
    • Parts of the tumor may have a completely benign appearance; this means that the tumor may have a atypical features in one area with some areas that are entirely benign
  • Atypical Glomus Tumors are normally diagnosed incidentally, when investigations are on for other medical conditions. Common locations for these tumors may include the digestive tract and lungs
  • The exact cause of tumor formation is not known, though several genetic mutations have been identified. Most commonly, young adults are affected by Atypical Glomus Tumors
  • Complete surgical excision and removal of the tumor is the treatment measure that is undertaken. Chemotherapy is not considered effective in treating these tumors
  • The prognosis of Atypical Glomus Tumor is based on the behavior of the tumor. Benign tumors have a generally excellent prognosis, while the prognosis of tumors that turn malignant depend on a set of several factors including the tumor stage, location, age, and health status of the individual

Who gets Atypical Glomus Tumor? (Age and Sex Distribution)

  • Atypical Glomus Tumors are observed very infrequently
  • It may affect individuals of any age, but a preference for young adults is noted
  • In general, both male and female genders are equally affected
  • All racial and ethnic groups may be affected and no preference is noted

What are the Risk Factors for Atypical Glomus Tumor? (Predisposing Factors)

Currently, the specific risk factors that contribute to Atypical Glomus Tumor development are unknown.

  • A positive family history is seen when multiple lesions are present; in such cases, there is an autosomal dominant pattern of inheritance noted
  • Neurofibromatosis type 1 (a genetic disorder) association is seen with multiple glomus tumors

It is important to note that having a risk factor does not mean that one will get the condition. A risk factor increases ones chances of getting a condition compared to an individual without the risk factors. Some risk factors are more important than others.

Also, not having a risk factor does not mean that an individual will not get the condition. It is always important to discuss the effect of risk factors with your healthcare provider.

What are the Causes of Atypical Glomus Tumor? (Etiology)

The exact cause and mechanism of formation Atypical Glomus Tumor is unknown.

  • In general, glomus tumors are observed to have a variety of mutations
  • Inherited tumors show gene mutations; the glomulin gene in chromosome 1 is involved in such cases
  • Multiple tumors are known to be inherited in an autosomal dominant manner

Autosomal dominant: Autosomal dominant conditions are traits or disorders that are present when only one copy of the mutation is inherited on a non-sex chromosome. In these types of conditions, the individual has one normal copy and one mutant copy of the gene. The abnormal gene dominates, masking the effects of the correctly function gene. If an individual has an autosomal dominant condition, the chance of passing the abnormal gene on to their offspring is 50%. Children, who do not inherit the abnormal gene, will not develop the condition or pass it on to their offspring.

What are the Signs and Symptoms of Atypical Glomus Tumor?

The following are the signs and symptoms of Atypical Glomus Tumors:

  • A vast majority of glomus tumors are single; although in 1 in 10 individuals, multiple tumors may be present. Solitary tumors are often found in slightly older adults than multiple tumors (which is found in younger adults)
  • In general, Atypical Glomus Tumors are more common in deep tissue location than superficial location
  • Deep-seated tumors may occur in the digestive tract, urinary bladder, male genitals, chest cavity, lungs, and bones. They may occur at any location in the body
  • Tumors present inside the body tissues may be irregularly-shaped and have less specific signs and symptoms. It may also depend upon the location of the tumor
  • Tumors present in deep body tissues are about or over 2 cm in size
  • Superficial tumors on the skin may be seen on the upper and lower extremities, where they may appear as papules or small, raised swellings. A bluish discoloration may be noted

How is Atypical Glomus Tumor Diagnosed?

A diagnosis of Atypical Glomus Tumor may include the following:

  • A thorough physical exam and complete evaluation of medical history
  • The following tests may be used for superficial malignancies, but are not applicable for deep-seated tumors:
    • Hildreth’s test: The limb with the tumor is elevated to drain blood away from the site of the tumor. After elevation, a tourniquet is tied and subsequently, the tumor is touched. The pain upon touch should be significantly reduced. But when the tourniquet is removed, the pain on touch suddenly increases
    • Love’s pin test: Individuals should experience severe pain and subsequent decrease in pain, when the skin on top of the tumor is pushed using a fine object, such as a paper-clip, a pinhead, a toothpick, or a ball-point pen tip
  • CT scan or MRI scan of the affected region
  • Tissue biopsy of tumor specimen:
    • A biopsy of the tumor is performed and sent to a laboratory for a pathological examination. A pathologist examines the biopsy under a microscope. After putting together clinical findings, special studies on tissues (if needed) and with microscope findings, the pathologist arrives at a definitive diagnosis. Examination of the biopsy under a microscope by a pathologist is considered to be gold standard in arriving at a conclusive diagnosis
    • Biopsy specimens are studied initially using Hematoxylin and Eosin staining. The pathologist then decides on additional studies depending on the clinical situation
    • Sometimes, the pathologist may perform special studies, which may include immunohistochemical stains, molecular testing, and very rarely, electron microscopic studies, to assist in the diagnosis

Note: Tumors that are deep-seated are generally difficult to diagnose due to their non-specific nature.

Many clinical conditions may have similar signs and symptoms. Your healthcare provider may perform additional tests to rule out other clinical conditions to arrive at a definitive diagnosis.

What are the possible Complications of Atypical Glomus Tumor?

Atypical Glomus Tumors may be associated with the following complications:

  • The tumor can recur locally after its surgical removal
  • Some tumors are known to metastasize

How is Atypical Glomus Tumor Treated?

The treatment of Atypical Glomus Tumor depends upon its behavior (whether benign or aggressive) and may involve the following measures:

  • Complete excision and surgical removal of the tumor
  • Multiple tumors may be treated through any of the following means:
    • Laser therapy
    • Injection of hypertonic saline
    • Sclerotherapy
  • Generally, chemotherapy or medical therapy (treatment using medications) is not effective for treating glomus tumors
  • Long-term follow-up care with regular screening and check-ups are important

How can Atypical Glomus Tumor be Prevented?

Currently, there are no effective preventative methods available for Atypical Glomus Tumor. Avoiding exposure to severe cold may reduce aggravation of the signs and symptoms.

What is the Prognosis of Atypical Glomus Tumor? (Outcomes/Resolutions)

Atypical Glomus Tumors that behave in a benign fashion and are completely excised may have excellent outcomes. The prognosis of Atypical Glomus Tumor that show features of malignancy and are aggressive may depend on a set of factors that include the following:

  • Stage of tumor: With lower-stage tumors, when the tumor is confined to site of origin, the prognosis is usually excellent with appropriate therapy. In higher-stage tumors, such as tumors with metastasis, the prognosis is poor
  • Location of tumor: Tumors at locations with potential to damage vital organs (such as tumors in the chest and GI tract) have poor prognosis than tumors that are located in the extremities (arms or legs)
  • The surgical respectability of the tumor (meaning, if the tumor can be removed completely)
  • Overall health of the individual: Individuals with overall excellent health have better prognosis compared with those with poor health
  • Age of the individual: Older individuals generally have poorer prognosis than younger individuals
  • Whether the tumor is occurring for the first time, or is a recurrent tumor. Recurring tumors have worse prognosis compared to tumors that do not recur
  • Response to treatment: Tumors that respond to treatment have better prognosis compared to tumors that do not respond to treatment

Additional and Relevant Useful Information for Atypical Glomus Tumor:

Please visit our Cancer & Benign Tumor Health Center for more physician-approved health information:

http://www.dovemed.com/diseases-conditions/cancer/

Was this article helpful

On the Article

Maulik P. Purohit MD MPH picture
Approved by

Maulik P. Purohit MD MPH

Assistant Medical Director, Medical Editorial Board, DoveMed Team

0 Comments

Please log in to post a comment.

Related Articles

Test Your Knowledge

Asked by users

Related Centers

Loading

Related Specialties

Loading card

Related Physicians

Related Procedures

Related Resources

Join DoveHubs

and connect with fellow professionals

Related Directories

Who we are

At DoveMed, our utmost priority is your well-being. We are an online medical resource dedicated to providing you with accurate and up-to-date information on a wide range of medical topics. But we're more than just an information hub - we genuinely care about your health journey. That's why we offer a variety of products tailored for both healthcare consumers and professionals, because we believe in empowering everyone involved in the care process.
Our mission is to create a user-friendly healthcare technology portal that helps you make better decisions about your overall health and well-being. We understand that navigating the complexities of healthcare can be overwhelming, so we strive to be a reliable and compassionate companion on your path to wellness.
As an impartial and trusted online resource, we connect healthcare seekers, physicians, and hospitals in a marketplace that promotes a higher quality, easy-to-use healthcare experience. You can trust that our content is unbiased and impartial, as it is trusted by physicians, researchers, and university professors around the globe. Importantly, we are not influenced or owned by any pharmaceutical, medical, or media companies. At DoveMed, we are a group of passionate individuals who deeply care about improving health and wellness for people everywhere. Your well-being is at the heart of everything we do.

© 2023 DoveMed. All rights reserved. It is not the intention of DoveMed to provide specific medical advice. DoveMed urges its users to consult a qualified healthcare professional for diagnosis and answers to their personal medical questions. Always call 911 (or your local emergency number) if you have a medical emergency!