
Osteoarthritis patients who received a steroid injection in the hip had a significantly greater incidence of bone death and collapse compared with control groups, according to new research presented today at the annual meeting of the Radiological Society of North America (RSNA).
Receiving an injection of a steroid and anesthetic is a common treatment for patients who are experiencing pain and inflammation in a joint, such as the hip, knee or shoulder.
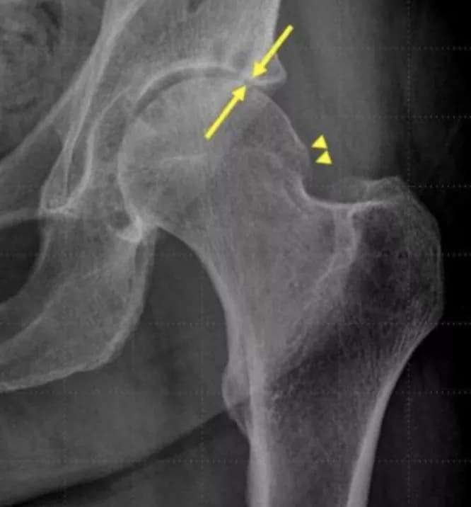
"Changes due to osteoarthritis, such as narrowing in the space between joints and the development of bony proliferations, typically develop slowly over time," said Connie Y. Chang, M.D., radiologist at Massachusetts General Hospital and assistant professor of radiology at Harvard Medical School in Boston. "When reading follow-up radiographs of patients who had received a hip injection, we noticed changes had developed rapidly in some patients."
To determine whether arthritis worsened in patients following a hip steroid/anesthetic injection, Chang and a team of radiologists specializing in musculoskeletal diagnostic imaging and intervention, including hip injections, conducted a study involving 102 patients (age range 19-92, including 62 women) who received X-ray images of the treated hip at the time of the injection and during a follow-up three to nine months later.
Two musculoskeletal radiologists independently reviewed the X-ray images of the patients who received the injections and those of two control groups matched to demographics and follow-up imaging duration. The control groups consisted of 102 patients who had hip X-rays without steroid/anesthetic injection and 44 patients who underwent imaging and a steroid/anesthetic injection in the shoulder.
The radiologists reported new osteonecrosis in 22-24 percent of hip injection patients, compared to 5-9 percent in the hip control group and 5 percent in the shoulder injection control group. They observed bone collapse in the head of the femur bone, located at the top of the femur at the articulation with the pelvic bone, in 15-17 percent of hip injection patients, versus 4 percent of hip control patients and 2 percent of shoulder control patients.
Hip injection patients also showed increased imaging findings of osteoarthritis compared to the control groups, but the differences were not statistically significant.
Dr. Chang noted that patients receiving hip injections have symptoms of hip pain severe enough to require the injection and may be prone to faster progression of bony changes compared to the control groups. These considerations may be important as some orthopedists are requesting higher steroid doses and injections in younger patients.
"We need to look at what's going on with the steroid/anesthetic injectate and osteoarthritis patients to determine what's causing the changes that occur in some patients," Dr. Chang said. "However, we don't want to deter patients from getting an injection. These results are enough to warrant an investigation, but not enough to cancel a procedure."
Materials provided by Radiological Society of North America. Note: Content may be edited for style and length.
Disclaimer: DoveMed is not responsible for the accuracy of the adapted version of news releases posted to DoveMed by contributing universities and institutions.
References:
Radiological Society of North America. (2017, November 29). Hip steroid injections associated with risky bone changes. Retrieved December 1, 2017.
and connect with fellow professionals
At DoveMed, our utmost priority is your well-being. We are an online medical resource dedicated to providing you with accurate and up-to-date information on a wide range of medical topics. But we're more than just an information hub - we genuinely care about your health journey. That's why we offer a variety of products tailored for both healthcare consumers and professionals, because we believe in empowering everyone involved in the care process.
Our mission is to create a user-friendly healthcare technology portal that helps you make better decisions about your overall health and well-being. We understand that navigating the complexities of healthcare can be overwhelming, so we strive to be a reliable and compassionate companion on your path to wellness.
As an impartial and trusted online resource, we connect healthcare seekers, physicians, and hospitals in a marketplace that promotes a higher quality, easy-to-use healthcare experience. You can trust that our content is unbiased and impartial, as it is trusted by physicians, researchers, and university professors around the globe. Importantly, we are not influenced or owned by any pharmaceutical, medical, or media companies. At DoveMed, we are a group of passionate individuals who deeply care about improving health and wellness for people everywhere. Your well-being is at the heart of everything we do.
0 Comments
Please log in to post a comment.