
Neuroscientists at Georgetown University Medical Center have found in a small study that although a group of HIV+ older individuals scored "cognitively normal" in standard neuropsychology testing, a scan of their brains tells a different story.
Published Nov. 17 in the journal AIDS Care, functional MRI (fMRI) scans, taken while participants were performing an alternating face-gender/word-semantic task, revealed that HIV+ individuals in the study showed deficits in cognitive functioning, compared to an age matched healthy controls.
Despite advances in treatment, HIV-associated neurocognitive disorder, or HAND, remains one of most common disorders in individuals with HIV infection. Previous studies have suggested about 30 to 60 percent of individuals with HIV-infection are affected, says neuroscientist Xiong Jiang, PhD, the lead author of the new study. This study suggests that cognitive impairments in HIV-infected 50 years or older individuals might be even more prevalent than previously proposed.
"This could be due to the fact that some standard neuropsychology tests might be insensitive to HAND," says Jiang. The new study used an experimental design that has been validated to study cognitive control (the ability to guide thought and action in accordance with current goals in a given environment) in healthy younger adults.
During the scanning, the participants were cued (unpredictably) to judge the gender of the face (male versus female) or the meaning of the word (e.g., animate for "tiger" and inanimate for "table") on superimposed face-word images. A switch (after the cue) in task often leads to an increase in reaction time and a decrease in accuracy (known as switching cost).
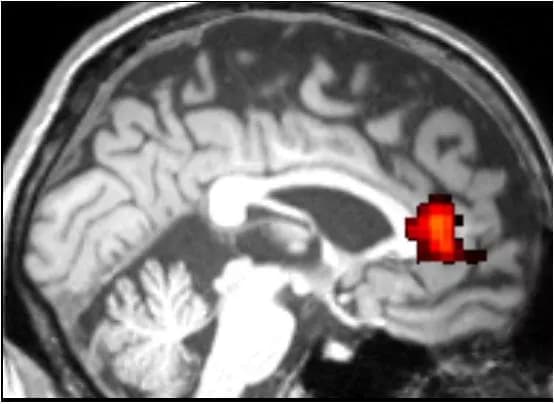
The HIV+ group was significantly slower in adjusting to change in tasks, which correlates with brain dysfunctions in the dorsal anterior cingulate cortex (dACC), one of the key executive regions. This collar-shaped area is near the front of the brain, and damage to this region has been linked to many cognitive impairments, including executive deficits and apathy.
"Intriguingly, both impairments are highly prevalent in individuals with HIV-infection, suggesting dACC might be one of commonly affected brain regions in HIV and a potential neural target for therapies," says Jiang.
"These findings, although preliminary, could have a significant implication for public health," says Jiang, "While there is no proven treatment that can effectively treat HAND other than control HIV replication, it is important for caregivers, families and the individuals themselves to know if they are affected."
Jiang says he will now study HAND in a larger population -- research supported by a $2 million grant from the National Institute of Mental Health (1R01MH108466-01) to further develop his fMRI-based biomarkers with the potential to guide and evaluate early and targeted therapies.
and connect with fellow professionals
At DoveMed, our utmost priority is your well-being. We are an online medical resource dedicated to providing you with accurate and up-to-date information on a wide range of medical topics. But we're more than just an information hub - we genuinely care about your health journey. That's why we offer a variety of products tailored for both healthcare consumers and professionals, because we believe in empowering everyone involved in the care process.
Our mission is to create a user-friendly healthcare technology portal that helps you make better decisions about your overall health and well-being. We understand that navigating the complexities of healthcare can be overwhelming, so we strive to be a reliable and compassionate companion on your path to wellness.
As an impartial and trusted online resource, we connect healthcare seekers, physicians, and hospitals in a marketplace that promotes a higher quality, easy-to-use healthcare experience. You can trust that our content is unbiased and impartial, as it is trusted by physicians, researchers, and university professors around the globe. Importantly, we are not influenced or owned by any pharmaceutical, medical, or media companies. At DoveMed, we are a group of passionate individuals who deeply care about improving health and wellness for people everywhere. Your well-being is at the heart of everything we do.
0 Comments
Please log in to post a comment.