DoveMed.com

Persistent Acantholytic Dermatosis

Article
Skin Care
Diseases & Conditions
Contributed byLester Fahrner, MD+1 moreAug 02, 2021

The topic Persistent Acantholytic Dermatosis you are seeking is a synonym, or alternative name, or is closely related to the medical condition Transient Acantholytic Dermatosis.

Quick Summary:

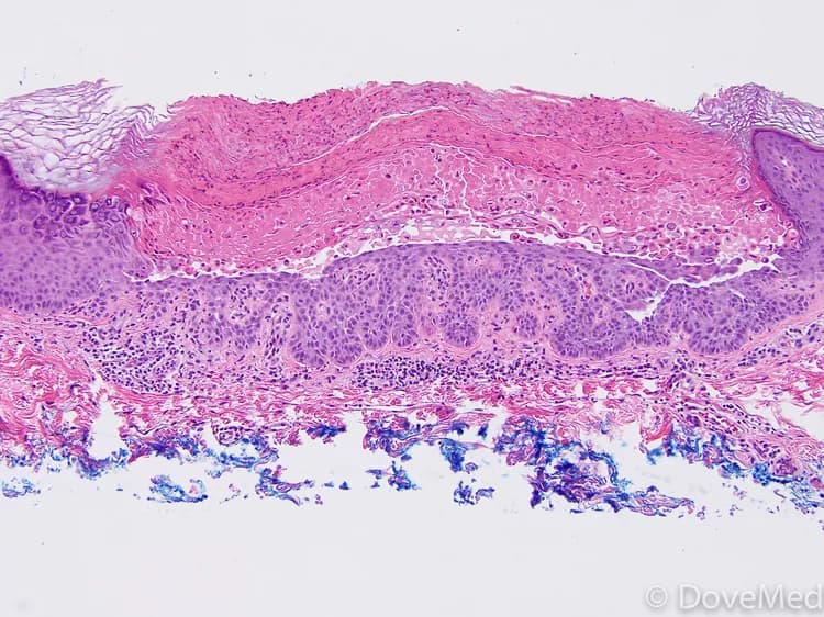
  • Transient Acantholytic Dermatosis is a skin disorder that is characterized by itchy lesions (papules and vesicles) on the chest and back presenting acantholysis (a histological description indicating a loss of cohesion between epidermal cells, known as keratinocytes). Even though termed transient, the condition can last for several years to decades and be persistent
  • The cause of Transient Acantholytic Dermatosis is not well understood. Some of the significant influencing factors include adverse effect of medications, sweating, and sun exposure, even though the condition is more common during winters. Transient Acantholytic Dermatosis is also known as Grover's Disease (GD) and is more common in middle-aged and older men

Please find comprehensive information on Transient Acantholytic Dermatosis regarding definition, distribution, risk factors, causes, signs & symptoms, diagnosis, complications, treatment, prevention, prognosis, and additional useful information HERE.

Was this article helpful

On the Article

Krish Tangella MD, MBA picture
Approved by

Krish Tangella MD, MBA

Pathology, Medical Editorial Board, DoveMed Team
Lester Fahrner, MD picture
Reviewed by

Lester Fahrner, MD

Chief Medical Officer, DoveMed Team

0 Comments

Please log in to post a comment.

Related Articles

Test Your Knowledge

Asked by users

Related Centers

Loading

Related Specialties

Loading card

Related Physicians

Related Procedures

Related Resources

Join DoveHubs

and connect with fellow professionals

Related Directories

Who we are

At DoveMed, our utmost priority is your well-being. We are an online medical resource dedicated to providing you with accurate and up-to-date information on a wide range of medical topics. But we're more than just an information hub - we genuinely care about your health journey. That's why we offer a variety of products tailored for both healthcare consumers and professionals, because we believe in empowering everyone involved in the care process.
Our mission is to create a user-friendly healthcare technology portal that helps you make better decisions about your overall health and well-being. We understand that navigating the complexities of healthcare can be overwhelming, so we strive to be a reliable and compassionate companion on your path to wellness.
As an impartial and trusted online resource, we connect healthcare seekers, physicians, and hospitals in a marketplace that promotes a higher quality, easy-to-use healthcare experience. You can trust that our content is unbiased and impartial, as it is trusted by physicians, researchers, and university professors around the globe. Importantly, we are not influenced or owned by any pharmaceutical, medical, or media companies. At DoveMed, we are a group of passionate individuals who deeply care about improving health and wellness for people everywhere. Your well-being is at the heart of everything we do.

© 2023 DoveMed. All rights reserved. It is not the intention of DoveMed to provide specific medical advice. DoveMed urges its users to consult a qualified healthcare professional for diagnosis and answers to their personal medical questions. Always call 911 (or your local emergency number) if you have a medical emergency!